提醒成功

搜索
Rabbit Polyclonal Antibody to PSME2
-
货号:
P30386 -
别名:
Proteasome activator complex subunit 2, 11S regulator complex subunit beta, REG-beta, Activator of multicatalytic protease subunit 2, Proteasome activator 28 subunit beta, PA28b, PA28beta, PSME2 -
应用:
WB,IHC-P,FCM -
反应种属:
Human, Mouse, Rat -
抗体类型:
Primary antibody -
Swissprot:
Q9UL46 -
规格:
-
数量:
-+ -
说明书:
目录价¥1980

Rabbit Polyclonal Antibody to PSME2
Description |
---|
The 26S proteasome is a multicatalytic proteinase complex with a highly ordered structure composed of 2 complexes, a 20S core and a 19S regulator. The 20S core is composed of 4 rings of 28 non-identical subunits; 2 rings are composed of 7 alpha subunits and 2 rings are composed of 7 beta subunits. The 19S regulator is composed of a base, which contains 6 ATPase subunits and 2 non-ATPase subunits, and a lid, which contains up to 10 non-ATPase subunits. Proteasomes are distributed throughout eukaryotic cells at a high concentration and cleave peptides in an ATP/ubiquitin-dependent process in a non-lysosomal pathway. An essential function of a modified proteasome, the immunoproteasome, is the processing of class I MHC peptides. The immunoproteasome contains an alternate regulator, referred to as the 11S regulator or PA28, that replaces the 19S regulator. Three subunits (alpha, beta and gamma) of the 11S regulator have been identified. PSME2 is the beta subunit of the 11S regulator, one of the two 11S subunits that is induced by gamma-interferon. |
Specification |
|
---|---|
Aliases | Proteasome activator complex subunit 2, 11S regulator complex subunit beta, REG-beta, Activator of multicatalytic protease subunit 2, Proteasome activator 28 subunit beta, PA28b, PA28beta, PSME2 |
Entrez GeneID | 5721 |
Swissprot | Q9UL46 |
WB Predicted band size | 27.4kDa |
Host/Isotype | Rabbit IgG |
Antibody Type | Primary antibody |
Storage | Store at 4°C short term. Aliquot and store at -20°C long term. Avoid freeze/thaw cycles. |
Species Reactivity | Human, Mouse, Rat |
Immunogen | This PSME2 antibody is generated from rabbits immunized with a KLH conjugated synthetic peptide between 210-239 amino acids from the C-terminal region of human PSME2. |
Formulation | Purified antibody in PBS with 0.05% sodium azide,1%BSA and 50% glycerol.prepared by Saturated Ammonium Sulfate (SAS) . |
Application |
|
---|---|
WB | 1/1000 |
IHC | 1/100-1/500 |
FCM | 1/10-1/50 |
Product Image
- Western blot analysis of lysate from HepG2 cell line, using PSME2 Antibody (C-term)(Cat. #P30386). P30386 was diluted at 1:1000 at each lane. A goat anti-rabbit IgG H&L(HRP) at 1:5000 dilution was used as the secondary antibody. Lysate at 35ug per lane.
- PSME2 Antibody (C-term) (Cat. #P30386) flow cytometry analysis of HL-60 cells (bottom histogram) compared to a negative control cell (top histogram).FITC-conjugated goat-anti-rabbit secondary antibodies were used for the analysis.
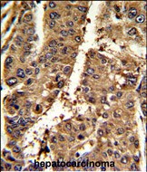
- Formalin-fixed and paraffin-embedded mouse hepatocarcinoma reacted with PSME2 Antibody (C-term), which was peroxidase-conjugated to the secondary antibody, followed by DAB staining. This data demonstrates the use of this antibody for immunohistochemistry; clinical relevance has not been evaluated.
For Reseach Only
Application Key:WB - Western Blot | IHC - Immunohistochemistry | ICC - Immunocytochemistry | FCM - Flow Cytometry | ELISA - Enzyme-linked Immunosorbent Assay | IP - Immunoprecipitation
#P30386

相关产品


