提醒成功

搜索
Rabbit Polyclonal Antibody to SPCS3
-
货号:
P30385 -
别名:
Signal peptidase complex subunit 3, 34--, Microsomal signal peptidase 22/23 kDa subunit, SPC22/23, SPase 22/23 kDa subunit, SPCS3, SPC22 -
应用:
WB,IHC-P,FCM -
反应种属:
Human, Mouse -
抗体类型:
Primary antibody -
Swissprot:
P61009 -
规格:
-
数量:
-+ -
说明书:
目录价¥1980

Rabbit Polyclonal Antibody to SPCS3
Description |
---|
SPCS3 is a component of the microsomal signal peptidase complex which removes signal peptides from nascent proteins as they are translocated into the lumen of the endoplasmic reticulum. |
Specification |
|
---|---|
Aliases | Signal peptidase complex subunit 3, 34--, Microsomal signal peptidase 22/23 kDa subunit, SPC22/23, SPase 22/23 kDa subunit, SPCS3, SPC22 |
Entrez GeneID | 60559 |
Swissprot | P61009 |
WB Predicted band size | 20.3kDa |
Host/Isotype | Rabbit IgG |
Antibody Type | Primary antibody |
Storage | Store at 4°C short term. Aliquot and store at -20°C long term. Avoid freeze/thaw cycles. |
Species Reactivity | Human, Mouse |
Immunogen | This SPCS3 antibody is generated from rabbits immunized with a KLH conjugated synthetic peptide between 152-180 amino acids from the C-terminal region of human SPCS3. |
Formulation | Purified antibody in PBS with 0.05% sodium azide,1%BSA and 50% glycerol.prepared by Saturated Ammonium Sulfate (SAS) . |
Application |
|
---|---|
WB | 1/1000 |
IHC | 1/100-1/500 |
FCM | 1/10-1/50 |
Product Image
- Western blot analysis of SPCS3 antibody (C-term) (Cat. #P30385) in mouse liver tissue lysates (35ug/lane). SPCS3 (arrow) was detected using the purified Pab.
- SPCS3 Antibody (C-term)(Cat.#P30385) flow cytometry analysis of HepG2 cells (bottom histogram) compared to a negative control cell (top histogram). FITC-conjugated goat-anti-rabbit secondary antibodies were used for the analysis.
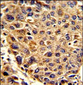
- Formalin-fixed and paraffin-embedded human hepatocarcinoma reacted with SPCS3 Antibody (C-term), which was peroxidase-conjugated to the secondary antibody, followed by DAB staining. This data demonstrates the use of this antibody for immunohistochemistry; clinical relevance has not been evaluated.
For Reseach Only
Application Key:WB - Western Blot | IHC - Immunohistochemistry | ICC - Immunocytochemistry | FCM - Flow Cytometry | ELISA - Enzyme-linked Immunosorbent Assay | IP - Immunoprecipitation
#P30385

相关产品


