提醒成功

搜索
Rabbit Polyclonal Antibody to MTBP
-
货号:
P30383 -
别名:
Mdm2-binding protein, hMTBP, MTBP -
应用:
WB,IHC-P,FCM -
反应种属:
Human -
抗体类型:
Primary antibody -
Swissprot:
Q96DY7 -
规格:
-
数量:
-+ -
说明书:
目录价¥1980

Rabbit Polyclonal Antibody to MTBP
Description |
---|
MTBP inhibits cell migration in vitro and suppresses the invasive behavior of tumor cells. The protein may play a role in MDM2-dependent TP53/p53 homeostasis in unstressed cells. The protein inhibits autoubiquitination of MDM2, thereby enhancing MDM2 stability. This promotes MDM2-mediated ubiquitination of TP53/p53 and its subsequent degradation. |
Specification |
|
---|---|
Aliases | Mdm2-binding protein, hMTBP, MTBP |
Entrez GeneID | 27085 |
Swissprot | Q96DY7 |
WB Predicted band size | 102.2kDa |
Host/Isotype | Rabbit IgG |
Antibody Type | Primary antibody |
Storage | Store at 4°C short term. Aliquot and store at -20°C long term. Avoid freeze/thaw cycles. |
Species Reactivity | Human |
Immunogen | This MTBP antibody is generated from rabbits immunized with a KLH conjugated synthetic peptide between 853-881 amino acids from the C-terminal region of human MTBP. |
Formulation | Purified antibody in PBS with 0.05% sodium azide,1%BSA and 50% glycerol.prepared by Saturated Ammonium Sulfate (SAS) . |
Application |
|
---|---|
WB | 1/1000 |
IHC | 1/100-1/500 |
FCM | 1/10-1/50 |
Product Image
- Western blot analysis of MTBP antibody (C-term) (Cat. #P30383) in K562 cell line lysates (35ug/lane). MTBP (arrow) was detected using the purified Pab.
- Flow cytometric analysis of K562 cells using MTBP Antibody (C-term)(bottom histogram) compared to a negative control cell (top histogram)FITC-conjugated goat-anti-rabbit secondary antibodies were used for the analysis.
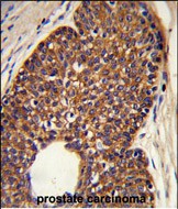
- Formalin-fixed and paraffin-embedded human prostate carcinoma reacted with MTBP Antibody (C-term), which was peroxidase-conjugated to the secondary antibody, followed by DAB staining. This data demonstrates the use of this antibody for immunohistochemistry; clinical relevance has not been evaluated.
For Reseach Only
Application Key:WB - Western Blot | IHC - Immunohistochemistry | ICC - Immunocytochemistry | FCM - Flow Cytometry | ELISA - Enzyme-linked Immunosorbent Assay | IP - Immunoprecipitation
#P30383

相关产品


