提醒成功

搜索
Rabbit Polyclonal Antibody to AZGP1 (N-term)
-
货号:
P30381 -
别名:
Zinc-alpha-2-glycoprotein, Zn-alpha-2-GP, Zn-alpha-2-glycoprotein, AZGP1, ZAG, ZNGP1 -
应用:
WB,IHC-P -
反应种属:
Human -
抗体类型:
Primary antibody -
Swissprot:
P25311 -
规格:
-
数量:
-+ -
说明书:
目录价¥1980

Rabbit Polyclonal Antibody to AZGP1 (N-term)
Description |
---|
AZGP1 stimulates lipid degradation in adipocytes and causes the extensive fat losses associated with some advanced cancers. It may bind polyunsaturated fatty acids. |
Specification |
|
---|---|
Aliases | Zinc-alpha-2-glycoprotein, Zn-alpha-2-GP, Zn-alpha-2-glycoprotein, AZGP1, ZAG, ZNGP1 |
Entrez GeneID | 563 |
Swissprot | P25311 |
WB Predicted band size | 34.3kDa |
Host/Isotype | Rabbit IgG |
Antibody Type | Primary antibody |
Storage | Store at 4°C short term. Aliquot and store at -20°C long term. Avoid freeze/thaw cycles. |
Species Reactivity | Human |
Immunogen | This AZGP1 antibody is generated from rabbits immunized with a KLH conjugated synthetic peptide between 5-32 amino acids from the N-terminal region of human AZGP1. |
Formulation | Purified antibody in PBS with 0.05% sodium azide,1%BSA and 50% glycerol.prepared by Saturated Ammonium Sulfate (SAS) . |
Application |
|
---|---|
WB | 1/1000 |
IHC | 1/100-1/500 |
Product Image
- Western blot analysis of AZGP1 Antibody (N-term) (Cat. #P30381) in K562, Y79 cell line lysates (35ug/lane). AZGP1 (arrow) was detected using the purified Pab.
- Western blot analysis of AZGP1 (arrow) using rabbit polyclonal AZGP1 Antibody (N-term) (Cat. #P30381). 293 cell lysates (2 ug/lane) either nontransfected (Lane 1) or transiently transfected (Lane 2) with the AZGP1 gene.
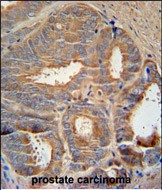
- AZGP1 Antibody (N-term) (Cat. #P30381) immunohistochemistry analysis in formalin fixed and paraffin embedded human prostate carcinoma followed by peroxidase conjugation of the secondary antibody and DAB staining. This data demonstrates the use of the AZGP1 Antibody (N-term) for immunohistochemistry. Clinical relevance has not been evaluated.
For Reseach Only
Application Key:WB - Western Blot | IHC - Immunohistochemistry | ICC - Immunocytochemistry | FCM - Flow Cytometry | ELISA - Enzyme-linked Immunosorbent Assay | IP - Immunoprecipitation
#P30381

相关产品


