提醒成功

搜索
Rabbit Polyclonal Antibody to IGFALS
-
货号:
P30355 -
别名:
Insulin-like growth factor-binding protein complex acid labile subunit, ALS, IGFALS, ALS -
应用:
WB,IHC-P,FCM -
反应种属:
Human, Mouse -
抗体类型:
Primary antibody -
Swissprot:
P35858 -
规格:
-
数量:
-+ -
说明书:
目录价¥1980

Rabbit Polyclonal Antibody to IGFALS
Description |
---|
IGFALS is a serum protein that binds insulin-like growth factors, increasing their half-life and their vascular localization. Production of the protein, which contains twenty leucine-rich repeats, is stimulated by growth hormone. Defects in this protein are a cause of acid-labile subunit deficiency, which maifests itself in a delayed and slow puberty. |
Specification |
|
---|---|
Aliases | Insulin-like growth factor-binding protein complex acid labile subunit, ALS, IGFALS, ALS |
Entrez GeneID | 3483 |
Swissprot | P35858 |
WB Predicted band size | 66.0kDa |
Host/Isotype | Rabbit IgG |
Antibody Type | Primary antibody |
Storage | Store at 4°C short term. Aliquot and store at -20°C long term. Avoid freeze/thaw cycles. |
Species Reactivity | Human, Mouse |
Immunogen | This IGFALS antibody is generated from rabbits immunized with a KLH conjugated synthetic peptide between 308-335 amino acids from the Central region of human IGFALS. |
Formulation | Purified antibody in PBS with 0.05% sodium azide,1%BSA and 50% glycerol.prepared by Saturated Ammonium Sulfate (SAS) . |
Application |
|
---|---|
WB | 1/1000 |
IHC | 1/100-1/500 |
FCM | 1/10-1/50 |
Product Image
- Western blot analysis of IGFALS Antibody (Center) (Cat.#P30355) in mouse spleen tissue, Jurkat cell line and mouse liver tissue lysates (35ug/lane). IGFALS (arrow) was detected using the purified Pab.
- IGFALS Antibody (Center) (Cat. #P30355) flow cytometry analysis of Jurkat cells (bottom histogram) compared to a negative control cell (top histogram).FITC-conjugated goat-anti-rabbit secondary antibodies were used for the analysis.
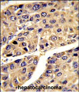
- Formalin-fixed and paraffin-embedded human hepatocarcinoma reacted with IGFALS Antibody (Center), which was peroxidase-conjugated to the secondary antibody, followed by DAB staining. This data demonstrates the use of this antibody for immunohistochemistry; clinical relevance has not been evaluated.
For Reseach Only
Application Key:WB - Western Blot | IHC - Immunohistochemistry | ICC - Immunocytochemistry | FCM - Flow Cytometry | ELISA - Enzyme-linked Immunosorbent Assay | IP - Immunoprecipitation
#P30355

相关产品


