提醒成功
搜索
产品中心
Product Center条件筛选
全部清除
-
Category
-
Host
-
Antibody Type
-
Application
-
Conjugation
-
Research Field
-
Modified
-
Targets
-
Antibody Pair
-
Host/Isotype
-
Species Reactivity
-
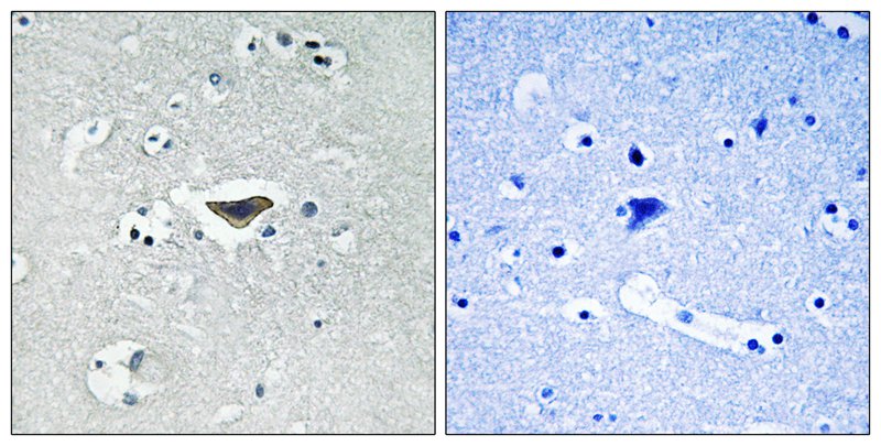
货号:P21594kappa Opioid Receptor
应用:WB,IP 别名:KOR; R21; KOR-1; MSL-1; Oprk2; K-OR-1 反应种属:Rat目录价 ¥2180
加入对比加入购物车 -
加入对比加入购物车
-
加入对比加入购物车
-
加入对比加入购物车
-
加入对比加入购物车
-
加入对比加入购物车
-
加入对比加入购物车
-
加入对比加入购物车
-
加入对比加入购物车
-
加入对比加入购物车
-
加入对比加入购物车
-
加入对比加入购物车

微信/QQ登录


首页


