提醒成功
搜索
新闻资讯
News and information-
01-05
2026配对抗体定制方案ELISA
针对不同检测目标与应用场景,定制化配对抗体方案能够突破商业化抗体的局限性,实现检测效能的精准匹配。本文将系统阐述配对抗体定制方案ELISA的核心逻辑、关键环节与质量把控要点。

-
01-05
2026IL28A抗体定制动物模型
构建契合研究需求的IL28A抗体定制动物模型,已成为衔接基础研究与临床转化的关键纽带,为相关疾病的发病机制阐释及治疗策略开发提供坚实支撑。

-
01-04
2026SAA重组单抗定制IgG亚型
SAA重组单抗定制是一种精准工具,而IgG亚型定制则是让这个工具充分发挥作用的核心环节。这种看似专业的生物医学技术,早已通过疾病诊断、治疗研究等途径,悄悄融入健康保障的各个层面。

-
01-04
2026GPC3抗体开发人源化
基于GPC3靶点的抗体药物研发过程中,人源化改造是决定药物临床价值的关键环节。本文将深入剖析GPC3抗体开发人源化的技术路径与质量把控要点。

-
12-29
2025免疫细胞CRO服务靶点验证
免疫细胞疗法研发链条中,CRO服务凭借专业的技术体系与完善的服务能力,成为靶点验证工作的重要支撑力量。本文将深入剖析免疫细胞CRO服务靶点验证的核心价值、关键维度与质量要求。

-
12-29
2025配对抗体定制方案开发生产
定制化开发生产模式,能够精准匹配不同应用场景的个性化需求,破解通用抗体在特殊靶点、特殊样本类型下的适配难题。本文将梳理配对抗体定制方案开发生产的核心环节,明晰各阶段的技术要点与质量把控逻辑。

-
12-26
2025IRAK4抗体开发抑制剂筛选
厘清IRAK4抗体开发抑制剂筛选的技术体系与核心要点,对推动相关药物研发进程具有重要意义。

-
12-26
2025IL28A抗体定制科研用途
从分子机制解析到疾病关联研究,从诊断靶点筛选到药物研发辅助,IL28A抗体定制已成为推动IL28A相关科研进程的重要助力。

-
12-25
2025GPC3抗体开发临床前研究
临床前研究作为抗体药物走向临床应用的关键环节,其研究质量决定药物后续开发的成败与安全性。本文将系统梳理GPC3抗体开发临床前研究的核心内容与技术要求。

-
12-25
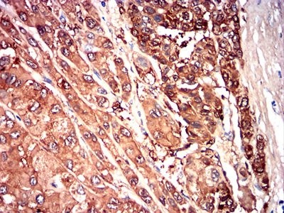
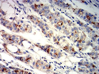
2025CDKN2A抗体开发免疫组化
基于靶点的CDKN2A抗体开发,以及后续免疫组化应用体系的构建,对提升肿瘤诊断精准度、推进靶向研究深度具有重要价值。


微信/QQ登录


首页

