提醒成功

搜索
Rabbit Polyclonal Antibody to MYL9
-
货号:
P11047 -
别名:
LC20, MLC2, MRLC1, MYRL2, MLC-2C -
应用:
WB,IHC -
反应种属:
Human, Mouse, Rat -
抗体类型:
Primary antibody -
Swissprot:
P24844 -
规格:
-
数量:
-+ -
说明书:
目录价¥1980

Rabbit Polyclonal Antibody to MYL9
Description |
---|
Myosin, a structural component of muscle, consists of two heavy chains and four light chains. The protein encoded by this gene is a myosin light chain that may regulate muscle contraction by modulating the ATPase activity of myosin heads. The encoded protein binds calcium and is activated by myosin light chain kinase. Two transcript variants encoding different isoforms have been found for this gene. |
Specification |
|
---|---|
Aliases | LC20, MLC2, MRLC1, MYRL2, MLC-2C |
Swissprot | P24844 |
WB Predicted band size | 14 kDa |
Host/Isotype | Rabbit IgG |
Antibody Type | Primary antibody |
Storage | Store at 4°C short term. Aliquot and store at -20°C long term. Avoid freeze/thaw cycles. |
Species Reactivity | Human, Mouse, Rat |
Immunogen | Synthetic peptide of human MYL9 |
Formulation | Purified antibody in PBS with 0.05% sodium azide and 50% glycerol. |
Application |
|
---|---|
WB | 1/1000-1/5000 |
IHC | 1/50-1/200 |
ELISA | 1/2000-1/10000 |
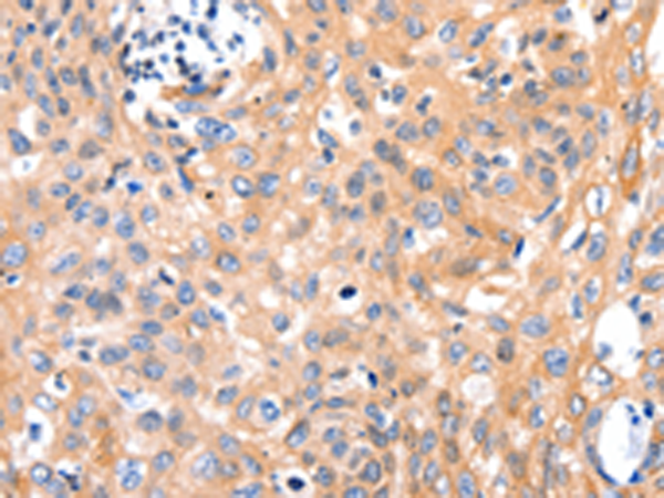
Product Image
- Gel: 12%SDS-PAGE, Lysate: 40 μg, Lane 1-2: Jurkat cells, 231 cells, Primary antibody: P11047(MYL9 Antibody) at dilution 1/1500, Secondary antibody: Goat anti rabbit IgG at 1/8000 dilution, Exposure time: 40 seconds
- The image is immunohistochemistry of paraffin-embedded Human liver cancer tissue using P11047(MYL9 Antibody) at dilution 1/80. (Original magnification: ×200)
- The image is immunohistochemistry of paraffin-embedded Human cervical cancer tissue using P11047(MYL9 Antibody) at dilution 1/80. (Original magnification: ×200)
For Reseach Only
Application Key:WB - Western Blot | IHC - Immunohistochemistry | ICC - Immunocytochemistry | FCM - Flow Cytometry | ELISA - Enzyme-linked Immunosorbent Assay | IP - Immunoprecipitation
#P11047

相关产品


