提醒成功

搜索
Rabbit Polyclonal Antibody to MLNR
-
货号:
P11045 -
别名:
GPR38; MTLR1 -
应用:
WB,IHC -
反应种属:
Human -
抗体类型:
Primary antibody -
Swissprot:
O43193 -
规格:
-
数量:
-+ -
说明书:
目录价¥1980

Rabbit Polyclonal Antibody to MLNR
Description |
---|
Motilin is a 22 amino acid peptide hormone expressed throughout the gastrointestinal (GI) tract. The protein encoded by this gene is a motilin receptor which is a member of the G-protein coupled receptor 1 family. This member is a multi-pass transmembrane protein, and is an important therapeutic target for the treatment of hypomotility disorders. |
Specification |
|
---|---|
Aliases | GPR38; MTLR1 |
Swissprot | O43193 |
WB Predicted band size | 45 kDa |
Host/Isotype | Rabbit IgG |
Antibody Type | Primary antibody |
Storage | Store at 4°C short term. Aliquot and store at -20°C long term. Avoid freeze/thaw cycles. |
Species Reactivity | Human |
Immunogen | Synthetic peptide of human MLNR |
Formulation | Purified antibody in PBS with 0.05% sodium azide and 50% glycerol. |
Application |
|
---|---|
WB | 1/500-1/2000 |
IHC | 1/30-1/150 |
ELISA | 1/5000-1/10000 |
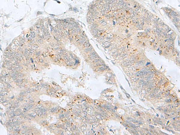
Product Image
- Gel: 8%SDS-PAGE, Lysate: 40 μg, Lane: 293T cell lysate, Primary antibody: P11045(MLNR Antibody) at dilution 1/500, Secondary antibody: Goat anti rabbit IgG at 1/5000 dilution, Exposure time: 2 minutes
- The image is immunohistochemistry of paraffin-embedded Human tonsil tissue using P11045(MLNR Antibody) at dilution 1/35. (Original magnification: ×200)
- The image is immunohistochemistry of paraffin-embedded Human colorectal cancer tissue using P11045(MLNR Antibody) at dilution 1/35. (Original magnification: ×200)
For Reseach Only
Application Key:WB - Western Blot | IHC - Immunohistochemistry | ICC - Immunocytochemistry | FCM - Flow Cytometry | ELISA - Enzyme-linked Immunosorbent Assay | IP - Immunoprecipitation
#P11045

相关产品


