提醒成功
搜索
Rabbit Polyclonal Antibody to MMP27
-
货号:
P11039 -
别名:
MMP-27 -
应用:
IHC -
反应种属:
Human -
抗体类型:
Primary antibody -
Swissprot:
Q9H306 -
规格:
-
数量:
-+ -
说明书:
目录价¥1980
Rabbit Polyclonal Antibody to MMP27
Description |
|---|
Proteins of the matrix metalloproteinase (MMP) family are involved in the breakdown of extracellular matrix in normal physiological processes, such as embryonic development, reproduction, and tissue remodeling, as well as in disease processes, such as arthritis and metastasis. Most MMP's are secreted as inactive proproteins which are activated when cleaved by extracellular proteinases. |
Specification |
|
|---|---|
| Aliases | MMP-27 |
| Swissprot | Q9H306 |
| Host/Isotype | Rabbit IgG |
| Antibody Type | Primary antibody |
| Storage | Store at 4°C short term. Aliquot and store at -20°C long term. Avoid freeze/thaw cycles. |
| Species Reactivity | Human |
| Immunogen | Synthetic peptide of human MMP27 |
| Formulation | Purified antibody in PBS with 0.05% sodium azide and 50% glycerol. |
Application |
|
|---|---|
| IHC | 1/50-1/200 |
| ELISA | 1/2000-1/10000 |
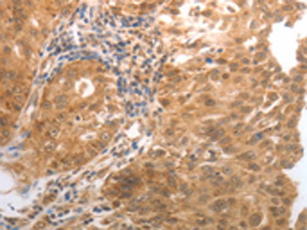
Product Image
- The image is immunohistochemistry of paraffin-embedded Human breast cancer tissue using P11039(MMP27 Antibody) at dilution 1/50. (Original magnification: ×200)
- The image is immunohistochemistry of paraffin-embedded Human ovarian cancer tissue using P11039(MMP27 Antibody) at dilution 1/50. (Original magnification: ×200)
For Reseach Only
Application Key:WB - Western Blot | IHC - Immunohistochemistry | ICC - Immunocytochemistry | FCM - Flow Cytometry | ELISA - Enzyme-linked Immunosorbent Assay | IP - Immunoprecipitation
#P11039
相关产品

微信/QQ登录


首页
