提醒成功
搜索
Rabbit Polyclonal Antibody to ACE2
-
货号:
P10641 -
别名:
ACEH -
应用:
IHC -
反应种属:
Human, Mouse, Rat -
抗体类型:
Primary antibody -
Swissprot:
Q9BYF1 -
规格:
-
数量:
-+ -
说明书:
目录价¥1980
Rabbit Polyclonal Antibody to ACE2
Description |
|---|
The protein encoded by this gene belongs to the angiotensin-converting enzyme family of dipeptidyl carboxydipeptidases and has considerable homology to human angiotensin 1 converting enzyme. This secreted protein catalyzes the cleavage of angiotensin I into angiotensin 1-9, and angiotensin II into the vasodilator angiotensin 1-7. The organ- and cell-specific expression of this gene suggests that it may play a role in the regulation of cardiovascular and renal function, as well as fertility. In addition, the encoded protein is a functional receptor for the spike glycoprotein of the human coronaviruses SARS and HCoV-NL63. |
Specification |
|
|---|---|
| Aliases | ACEH |
| Swissprot | Q9BYF1 |
| Host/Isotype | Rabbit IgG |
| Antibody Type | Primary antibody |
| Storage | Store at 4°C short term. Aliquot and store at -20°C long term. Avoid freeze/thaw cycles. |
| Species Reactivity | Human, Mouse, Rat |
| Immunogen | Synthetic peptide of human ACE2 |
| Formulation | Purified antibody in PBS with 0.05% sodium azide and 50% glycerol. |
Application |
|
|---|---|
| IHC | 1/25-1/100 |
| ELISA | 1/1000-1/5000 |
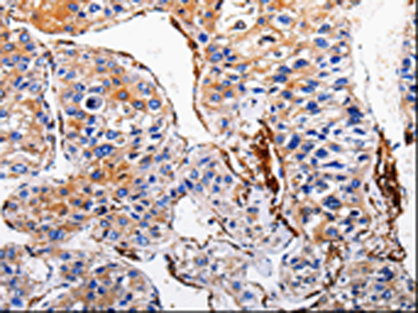
Product Image
- The image is immunohistochemistry of paraffin-embedded Human stomach cancer tissue using P10641(ACE2 Antibody) at dilution 1/40. (Original magnification: ×200)
- The image is immunohistochemistry of paraffin-embedded Human liver cancer tissue using P10641(ACE2 Antibody) at dilution 1/40. (Original magnification: ×200)
For Reseach Only
Application Key:WB - Western Blot | IHC - Immunohistochemistry | ICC - Immunocytochemistry | FCM - Flow Cytometry | ELISA - Enzyme-linked Immunosorbent Assay | IP - Immunoprecipitation
#P10641
相关产品

微信/QQ登录


首页
