提醒成功

搜索
Rabbit Polyclonal Antibody to NVL
-
货号:
P10210 -
别名:
NVL2 -
应用:
WB,IHC -
反应种属:
Human, Mouse -
抗体类型:
Primary antibody -
Swissprot:
O15381 -
规格:
-
数量:
-+ -
说明书:
目录价¥1980

Rabbit Polyclonal Antibody to NVL
Description |
---|
This gene encodes a member of the AAA (ATPases associated with diverse cellular activities) superfamily. Multiple transcript variants encoding different isoforms have been found for this gene. Two encoded proteins, described as major and minor isoforms, have been localized to distinct regions of the nucleus. The largest encoded protein (major isoform) has been localized to the nucleolus and shown to participate in ribosome biosynthesis (PMID: 15469983, 16782053), while the minor isoform has been localized to the nucleoplasmin. |
Specification |
|
---|---|
Aliases | NVL2 |
Swissprot | O15381 |
WB Predicted band size | 95 kDa |
Host/Isotype | Rabbit IgG |
Antibody Type | Primary antibody |
Storage | Store at 4°C short term. Aliquot and store at -20°C long term. Avoid freeze/thaw cycles. |
Species Reactivity | Human, Mouse |
Immunogen | Fusion protein of human NVL |
Formulation | Purified antibody in PBS with 0.05% sodium azide and 50% glycerol. |
Application |
|
---|---|
WB | 1/1000-1/5000 |
IHC | 1/50-1/200 |
ELISA | 1/5000-1/10000 |
Product Image
- Gel: 6%SDS-PAGE, Lysate: 40 μg, Lane 1-2: 293T and Jurkat cell lysates, Primary antibody: P10210(NVL Antibody) at dilution 1/1000, Secondary antibody: Goat anti rabbit IgG at 1/5000 dilution, Exposure time: 7 seconds
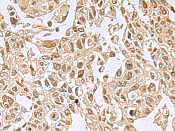
- The image is immunohistochemistry of paraffin-embedded Human esophagus cancer tissue using P10210(NVL Antibody) at dilution 1/80. (Original magnification: ×200)
- The image is immunohistochemistry of paraffin-embedded Human lung cancer tissue using P10210(NVL Antibody) at dilution 1/80. (Original magnification: ×200)
For Reseach Only
Application Key:WB - Western Blot | IHC - Immunohistochemistry | ICC - Immunocytochemistry | FCM - Flow Cytometry | ELISA - Enzyme-linked Immunosorbent Assay | IP - Immunoprecipitation
#P10210

相关产品


