提醒成功

搜索
Rabbit Polyclonal Antibody to PIP5K1A
-
货号:
P07978 -
别名:
-
应用:
WB,IHC -
反应种属:
Human -
抗体类型:
Primary antibody -
Swissprot:
Q99755 -
规格:
-
数量:
-+ -
说明书:
目录价¥1980

Rabbit Polyclonal Antibody to PIP5K1A
Description |
---|
Phosphatidylinositol-4-phosphate 5-kinase type-1 alpha is an enzyme that in humans is encoded by the PIP5K1A gene. Catalyzes the phosphorylation of phosphatidylinositol 4-phosphate (PtdIns4P) to form phosphatidylinositol 4,5-bisphosphate (PtdIns(4,5)P2). PtdIns(4,5)P2 is involved in a variety of cellular processes and is the substrate to form phosphatidylinositol 3,4,5-trisphosphate (PtdIns(3,4,5)P3), another second messenger. The majority of PtdIns(4,5)P2 is thought to occur via type I phosphatidylinositol 4-phosphate 5-kinases given the abundance of PtdIns4P. |
Specification |
|
---|---|
Swissprot | Q99755 |
WB Predicted band size | 63 kDa |
Host/Isotype | Rabbit IgG |
Antibody Type | Primary antibody |
Storage | Store at 4°C short term. Aliquot and store at -20°C long term. Avoid freeze/thaw cycles. |
Species Reactivity | Human |
Immunogen | Fusion protein of human PIP5K1A |
Formulation | Purified antibody in PBS with 0.05% sodium azide and 50% glycerol. |
Application |
|
---|---|
WB | 1/200-1/1000 |
IHC | 1/25-1/100 |
ELISA | 1/2000-1/5000 |
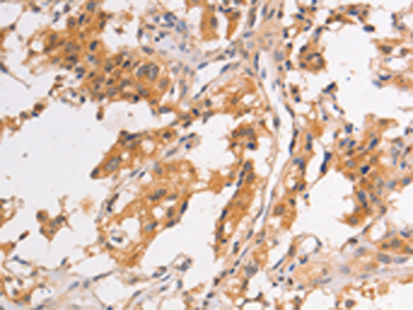
Product Image
- Gel: 6%SDS-PAGE, Lysate: 40 μg, Lane 1-2: PC3 cells, 293T cells, Primary antibody: P07978(PIP5K1A Antibody) at dilution 1/300, Secondary antibody: Goat anti rabbit IgG at 1/8000 dilution, Exposure time: 40 seconds
- The image is immunohistochemistry of paraffin-embedded Human thyroid cancer tissue using P07978(PIP5K1A Antibody) at dilution 1/30. (Original magnification: ×200)
- The image is immunohistochemistry of paraffin-embedded Human brain tissue using P07978(PIP5K1A Antibody) at dilution 1/30. (Original magnification: ×200)
For Reseach Only
Application Key:WB - Western Blot | IHC - Immunohistochemistry | ICC - Immunocytochemistry | FCM - Flow Cytometry | ELISA - Enzyme-linked Immunosorbent Assay | IP - Immunoprecipitation
#P07978

相关产品


