提醒成功

搜索
Rabbit Polyclonal Antibody to SPDL1
-
货号:
P00709 -
别名:
CCDC99 -
应用:
WB,IHC -
反应种属:
Human, Mouse -
抗体类型:
Primary antibody -
Swissprot:
Q96EA4 -
规格:
-
数量:
-+ -
说明书:
目录价¥1980

Rabbit Polyclonal Antibody to SPDL1
Description |
---|
This gene encodes a coiled-coil domain-containing protein that functions in mitotic spindle formation and chromosome segregation. The encoded protein plays a role in coordinating microtubule attachment by promoting recruitment of dynein proteins, and in mitotic checkpoint signaling. |
Specification |
|
---|---|
Aliases | CCDC99 |
Swissprot | Q96EA4 |
WB Predicted band size | 70 kDa |
Host/Isotype | Rabbit IgG |
Antibody Type | Primary antibody |
Storage | Store at 4°C short term. Aliquot and store at -20°C long term. Avoid freeze/thaw cycles. |
Species Reactivity | Human, Mouse |
Immunogen | Fusion protein of human SPDL1 |
Formulation | Purified antibody in PBS with 0.05% sodium azide and 50% glycerol. |
Application |
|
---|---|
WB | 1/500-1/2000 |
IHC | 1/50-1/200 |
ELISA | 1/5000-1/10000 |
Product Image
- Gel: 8%SDS-PAGE, Lysate: 40 μg, Lane 1-6: Hela, 293T, Jurkat cell, Mouse testis tissue, K562, A549 cell lysates , Primary antibody: P00709(SPDL1 Antibody) at dilution 1/700, Secondary antibody: Goat anti rabbit IgG at 1/5000 dilution, Exposure time: 1 minute
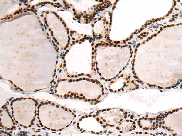
- The image is immunohistochemistry of paraffin-embedded Human thyroid cancer tissue using P00709(SPDL1 Antibody) at dilution 1/100. (Original magnification: ×200)
- The image is immunohistochemistry of paraffin-embedded Human prostate cancer tissue using P00709(SPDL1 Antibody) at dilution 1/100. (Original magnification: ×200)
For Reseach Only
Application Key:WB - Western Blot | IHC - Immunohistochemistry | ICC - Immunocytochemistry | FCM - Flow Cytometry | ELISA - Enzyme-linked Immunosorbent Assay | IP - Immunoprecipitation
#P00709

相关产品


