提醒成功

搜索
Rabbit Polyclonal Antibody to SFTPC
-
货号:
P00704 -
别名:
SP5; SP-C; PSP-C; SFTP2; SMDP2; BRICD6 -
应用:
IHC -
反应种属:
Human -
抗体类型:
Primary antibody -
Swissprot:
P11686 -
规格:
-
数量:
-+ -
说明书:
目录价¥1980

Rabbit Polyclonal Antibody to SFTPC
Description |
---|
This gene encodes the pulmonary-associated surfactant protein C (SPC), an extremely hydrophobic surfactant protein essential for lung function and homeostasis after birth. Pulmonary surfactant is a surface-active lipoprotein complex composed of 90% lipids and 10% proteins which include plasma proteins and apolipoproteins SPA, SPB, SPC and SPD. The surfactant is secreted by the alveolar cells of the lung and maintains the stability of pulmonary tissue by reducing the surface tension of fluids that coat the lung. Multiple mutations in this gene have been identified, which cause pulmonary surfactant metabolism dysfunction type 2, also called pulmonary alveolar proteinosis due to surfactant protein C deficiency, and are associated with interstitial lung disease in older infants, children, and adults. Alternatively spliced transcript variants encoding different protein isoforms have been identified. |
Specification |
|
---|---|
Aliases | SP5; SP-C; PSP-C; SFTP2; SMDP2; BRICD6 |
Swissprot | P11686 |
Host/Isotype | Rabbit IgG |
Antibody Type | Primary antibody |
Storage | Store at 4°C short term. Aliquot and store at -20°C long term. Avoid freeze/thaw cycles. |
Species Reactivity | Human |
Immunogen | Fusion protein of human SFTPC |
Formulation | Purified antibody in PBS with 0.05% sodium azide and 50% glycerol. |
Application |
|
---|---|
IHC | 1/50-1/200 |
ELISA | 1/5000-1/10000 |
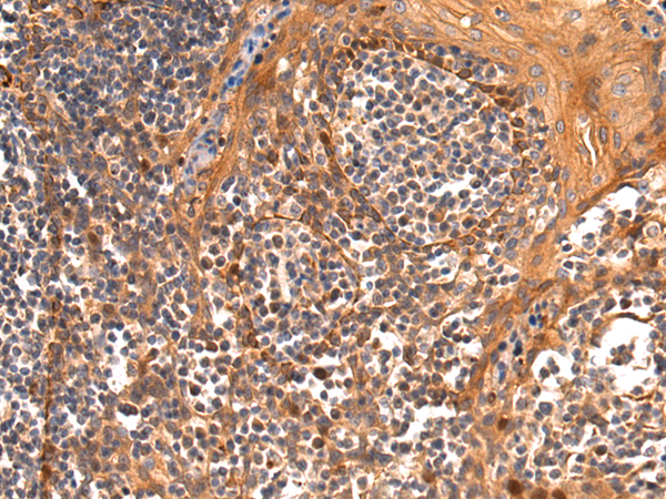
Product Image
- The image is immunohistochemistry of paraffin-embedded Human cervical cancer tissue using P00704(SFTPC Antibody) at dilution 1/50. (Original magnification: ×200)
- The image is immunohistochemistry of paraffin-embedded Human tonsil tissue using P00704(SFTPC Antibody) at dilution 1/50. (Original magnification: ×200)
For Reseach Only
Application Key:WB - Western Blot | IHC - Immunohistochemistry | ICC - Immunocytochemistry | FCM - Flow Cytometry | ELISA - Enzyme-linked Immunosorbent Assay | IP - Immunoprecipitation
#P00704

相关产品


