提醒成功

搜索
Rabbit Polyclonal Antibody to PRPH
-
货号:
P00622 -
别名:
NEF4; PRPH1 -
应用:
WB,IHC -
反应种属:
Human, Mouse, Rat -
抗体类型:
Primary antibody -
Swissprot:
P41219 -
规格:
-
数量:
-+ -
说明书:
目录价¥1980

Rabbit Polyclonal Antibody to PRPH
Description |
---|
This gene encodes a cytoskeletal protein found in neurons of the peripheral nervous system. The encoded protein is a type III intermediate filament protein with homology to other cytoskeletal proteins such as desmin, and is a different protein that the peripherin found in photoreceptors. Mutations in this gene have been associated with susceptibility to amyotrophic lateral sclerosis. |
Specification |
|
---|---|
Aliases | NEF4; PRPH1 |
Swissprot | P41219 |
WB Predicted band size | 54 kDa |
Host/Isotype | Rabbit IgG |
Antibody Type | Primary antibody |
Storage | Store at 4°C short term. Aliquot and store at -20°C long term. Avoid freeze/thaw cycles. |
Species Reactivity | Human, Mouse, Rat |
Immunogen | Fusion protein of human PRPH |
Formulation | Purified antibody in PBS with 0.05% sodium azide and 50% glycerol. |
Application |
|
---|---|
WB | 1/200-1/1000 |
IHC | 1/25-1/100 |
ELISA | 1/500-1/1000 |
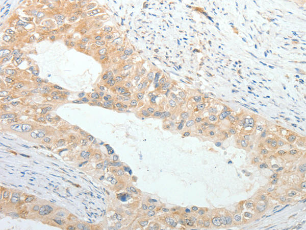
Product Image
- Gel: 8%SDS-PAGE, Lysate: 40 μg, Lane: TM4 cell lysate, Primary antibody: P00622(PRPH Antibody) at dilution 1/200, Secondary antibody: Goat anti rabbit IgG at 1/8000 dilution, Exposure time: 9 minutes
- The image is immunohistochemistry of paraffin-embedded Human cervical cancer tissue using P00622(PRPH Antibody) at dilution 1/20. (Original magnification: ×200)
- The image is immunohistochemistry of paraffin-embedded Human thyroid cancer tissue using P00622(PRPH Antibody) at dilution 1/20. (Original magnification: ×200)
For Reseach Only
Application Key:WB - Western Blot | IHC - Immunohistochemistry | ICC - Immunocytochemistry | FCM - Flow Cytometry | ELISA - Enzyme-linked Immunosorbent Assay | IP - Immunoprecipitation
#P00622

相关产品


