提醒成功

搜索
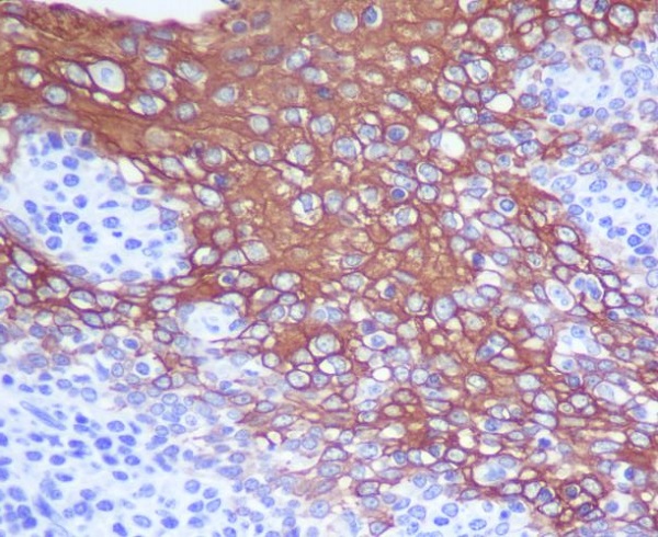
Rabbit Monoclonal to Cytokeratin 13
-
货号:
P17332 -
别名:
Keratin, type I cytoskeletal 13; Krt1-13; Cytokeratin 13; CK13; Keratin 13; KRT13; WSN2;;Cytokeratin 13 -
应用:
WB,IHC/IHF,IF, -
反应种属:
Human,Mouse -
抗体类型:
Primary antibody -
Swissprot:
P13646 -
规格:
-
数量:
-+ -
说明书:
目录价¥2180

Rabbit Monoclonal to Cytokeratin 13
Description |
---|
Type 1 keratin (Probable). Maintains postnatal tongue mucosal cell homeostasis and tissue organization in response to mechanical stress, potentially via regulation of the G1/S phase cyclins CCNE1 and CCNE2. |
Specification |
|
---|---|
Aliases | Keratin, type I cytoskeletal 13; Krt1-13; Cytokeratin 13; CK13; Keratin 13; KRT13; WSN2;;Cytokeratin 13 |
Swissprot | P13646 |
WB Predicted band size | 50 kDa |
Host/Isotype | Rabbit IgG |
Antibody Type | Primary antibody |
Storage | Store at 4°C short term. Aliquot and store at -20°C long term. Avoid freeze/thaw cycles. |
Species Reactivity | Human,Mouse |
Immunogen | A synthesized peptide derived from human Cytokeratin 13 |
Formulation | Purified antibody in PBS with 0.05% sodium azide,0.05% BSA and 50% glycerol. |
Application |
|
---|---|
WB | 1/1000-1/5000 |
IHC | IHC:1/100-1/200;IHF:1/50-1/200 |
IF/ICC | 1/50-1/200 |
Product Image
For Reseach Only
Application Key:WB - Western Blot | IHC - Immunohistochemistry | ICC - Immunocytochemistry | FCM - Flow Cytometry | ELISA - Enzyme-linked Immunosorbent Assay | IP - Immunoprecipitation
#P17332

相关产品


