提醒成功

搜索
Rabbit Monoclonal to ADIPOR1
-
货号:
P17326 -
别名:
Adiponectin receptor protein 1; Progestin and adipoQ receptor family member I ; CGI-45; PAQR1; ADIPOR1;;Adiponectin receptor protein 1 -
应用:
WB,IHC/IHF,IF,FCM -
反应种属:
Human,Mouse,Rat -
抗体类型:
Primary antibody -
Swissprot:
Q96A54 -
规格:
-
数量:
-+ -
说明书:
目录价¥2180

Rabbit Monoclonal to ADIPOR1
Description |
---|
Receptor for ADIPOQ, an essential hormone secreted by adipocytes that regulates glucose and lipid metabolism.Required for normal glucose and fat homeostasis and for maintaining a normal body weight. ADIPOQ-binding activates a signaling cascade that leads to increased AMPK activity, and ultimately to increased fatty acid oxidation, increased glucose uptake and decreased gluconeogenesis. Has high affinity for globular adiponectin and low affinity for full-length adiponectin. |
Specification |
|
---|---|
Aliases | Adiponectin receptor protein 1; Progestin and adipoQ receptor family member I ; CGI-45; PAQR1; ADIPOR1;;Adiponectin receptor protein 1 |
Swissprot | Q96A54 |
WB Predicted band size | 43 kDa |
Host/Isotype | Rabbit IgG |
Antibody Type | Primary antibody |
Storage | Store at 4°C short term. Aliquot and store at -20°C long term. Avoid freeze/thaw cycles. |
Species Reactivity | Human,Mouse,Rat |
Immunogen | A synthesized peptide derived from human Adiponectin receptor protein 1 |
Formulation | Purified antibody in PBS with 0.05% sodium azide,0.05% BSA and 50% glycerol. |
Application |
|
---|---|
WB | 1/1000-1/2000 |
IHC | IHC:1/100-1/200;IHF:1/50-1/200 |
IF/ICC | 1/50-1/200 |
FCM | 1/20-1/100 |
Product Image
- All lanes use the Antibody at 1:1K dilution for 1 hour at room temperature.
- All lanes use the Antibody at 1:1K dilution for 1 hour at room temperature.
- Western blot analysis of ADIPOR1 expression in Human heart lysate.
- Immunofluorescent analysis using the Antibody at 1:50 dilution.
- Immunofluorescent analysis using the Antibody at 1:50 dilution.
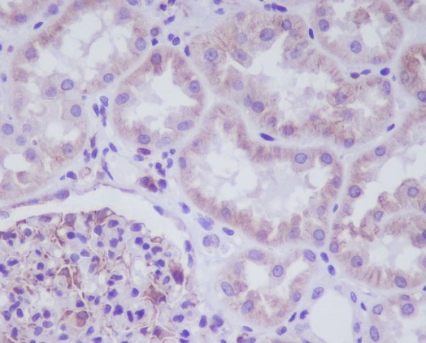
- Immunohistochemical analysis of paraffin-embedded human kidney, using ADIPOR1 Antibody.
For Reseach Only
Application Key:WB - Western Blot | IHC - Immunohistochemistry | ICC - Immunocytochemistry | FCM - Flow Cytometry | ELISA - Enzyme-linked Immunosorbent Assay | IP - Immunoprecipitation
#P17326

相关产品


