提醒成功

搜索
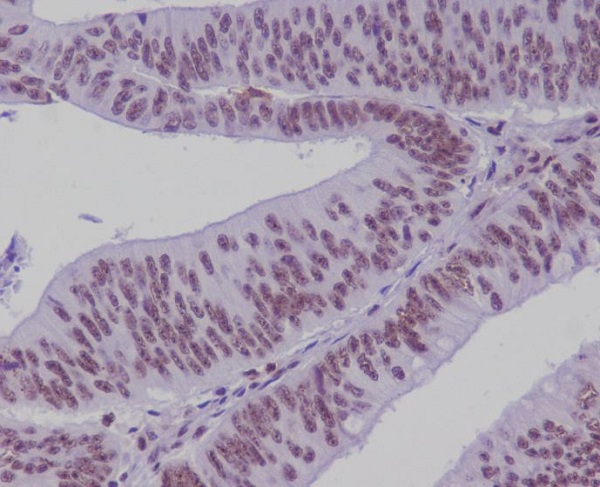
Rabbit Monoclonal to TCF7L2
-
货号:
P17325 -
别名:
TCF7L2; HMG box transcription factor 4; HTCF-4; T-cell factor-4 variant X2; T-cell factor 4; Transcription factor 7-like 2; TCF-4;;TCF7L2 -
应用:
WB,IHC/IHF,IF,IP,FCM -
反应种属:
Human,Mouse,Rat -
抗体类型:
Primary antibody -
Swissprot:
Q9NQB0 -
规格:
-
数量:
-+ -
说明书:
目录价¥2180

Rabbit Monoclonal to TCF7L2
Description |
---|
Participates in the Wnt signaling pathway and modulates MYC expression by binding to its promoter in a sequence-specific manner. Acts as a repressor in the absence of CTNNB1, and as activator in its presence. Activates transcription from promoters with several copies of the Tcf motif 5'-CCTTTGATC-3' in the presence of CTNNB1. TLE1, TLE2, TLE3 and TLE4 repress transactivation mediated by TCF7L2/TCF4 and CTNNB1. |
Specification |
|
---|---|
Aliases | TCF7L2; HMG box transcription factor 4; HTCF-4; T-cell factor-4 variant X2; T-cell factor 4; Transcription factor 7-like 2; TCF-4;;TCF7L2 |
Swissprot | Q9NQB0 |
WB Predicted band size | 68 kDa |
Host/Isotype | Rabbit IgG |
Antibody Type | Primary antibody |
Storage | Store at 4°C short term. Aliquot and store at -20°C long term. Avoid freeze/thaw cycles. |
Species Reactivity | Human,Mouse,Rat |
Immunogen | A synthesized peptide derived from human TCF7L2 |
Formulation | Purified antibody in PBS with 0.05% sodium azide,0.05% BSA and 50% glycerol. |
Application |
|
---|---|
WB | 1/1000-1/5000 |
IP | 1/20-1/50 |
IHC | IHC:1/100-1/200;IHF:1/50-1/200 |
IF/ICC | 1/50-1/200 |
FCM | 1/20-1/100 |
Product Image
For Reseach Only
Application Key:WB - Western Blot | IHC - Immunohistochemistry | ICC - Immunocytochemistry | FCM - Flow Cytometry | ELISA - Enzyme-linked Immunosorbent Assay | IP - Immunoprecipitation
#P17325

相关产品


