提醒成功

搜索
Rabbit Monoclonal to Glutaminase
-
货号:
P17324 -
别名:
Glutaminase kidney isoform; GLS; GLS1, KGA; K-glutaminase; GAM; GAC; Glutaminase C; L-glutamine amidohydrolase;;GLS -
应用:
WB,IHC/IHF,IF, -
反应种属:
Human,Mouse,Rat -
抗体类型:
Primary antibody -
Swissprot:
O94925 -
规格:
-
数量:
-+ -
说明书:
目录价¥2180

Rabbit Monoclonal to Glutaminase
Description |
---|
Catalyzes the first reaction in the primary pathway for the renal catabolism of glutamine. Plays a role in maintaining acid-base homeostasis. Regulates the levels of the neurotransmitter glutamate, the main excitatory neurotransmitter in the brain. |
Specification |
|
---|---|
Aliases | Glutaminase kidney isoform; GLS; GLS1, KGA; K-glutaminase; GAM; GAC; Glutaminase C; L-glutamine amidohydrolase;;GLS |
Swissprot | O94925 |
WB Predicted band size | Calculated MW: 73 kDa ; Observed MW: 65,73 kDa |
Host/Isotype | Rabbit IgG |
Antibody Type | Primary antibody |
Storage | Store at 4°C short term. Aliquot and store at -20°C long term. Avoid freeze/thaw cycles. |
Species Reactivity | Human,Mouse,Rat |
Immunogen | A synthesized peptide derived from human GLS |
Formulation | Purified antibody in PBS with 0.05% sodium azide,0.05% BSA and 50% glycerol. |
Application |
|
---|---|
WB | 1/1000-1/2000 |
IHC | IHC:1/100-1/200;IHF:1/50-1/200 |
IF/ICC | 1/50-1/200 |
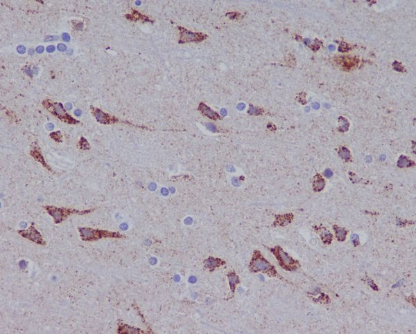
Product Image
For Reseach Only
Application Key:WB - Western Blot | IHC - Immunohistochemistry | ICC - Immunocytochemistry | FCM - Flow Cytometry | ELISA - Enzyme-linked Immunosorbent Assay | IP - Immunoprecipitation
#P17324

相关产品


