提醒成功
搜索
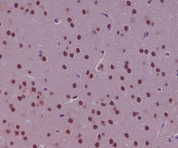
Rabbit Monoclonal to p73
-
货号:
P17276 -
别名:
p53-like transcription factor; p53-related protein; P73 alpha protein; p73-alpha; TP73; TRP73; Tumor protein p73;;p73 -
应用:
WB,IHC/IHF,IF, -
反应种属:
Human,Mouse,Rat -
抗体类型:
Primary antibody -
Swissprot:
O15350 -
规格:
-
数量:
-+ -
说明书:
目录价¥2180
Rabbit Monoclonal to p73
Description |
|---|
Participates in the apoptotic response to DNA damage. Isoforms containing the transactivation domain are pro-apoptotic, isoforms lacking the domain are anti-apoptotic and block the function of p53 and transactivating p73 isoforms. May be a tumor suppressor protein. Is an activator of FOXJ1 expression. It is an essential factor for the positive regulation of lung ciliated cell differentiation. |
Specification |
|
|---|---|
| Aliases | p53-like transcription factor; p53-related protein; P73 alpha protein; p73-alpha; TP73; TRP73; Tumor protein p73;;p73 |
| Swissprot | O15350 |
| WB Predicted band size | 70 kDa |
| Host/Isotype | Rabbit IgG |
| Antibody Type | Primary antibody |
| Storage | Store at 4°C short term. Aliquot and store at -20°C long term. Avoid freeze/thaw cycles. |
| Species Reactivity | Human,Mouse,Rat |
| Immunogen | A synthesized peptide derived from human p73 |
| Formulation | Purified antibody in PBS with 0.05% sodium azide,0.05% BSA and 50% glycerol. |
Application |
|
|---|---|
| WB | 1/1000-1/2000 |
| IHC | IHC:1/100-1/200;IHF:1/50-1/200 |
| IF/ICC | 1/50-1/200 |
Product Image
For Reseach Only
Application Key:WB - Western Blot | IHC - Immunohistochemistry | ICC - Immunocytochemistry | FCM - Flow Cytometry | ELISA - Enzyme-linked Immunosorbent Assay | IP - Immunoprecipitation
#P17276
相关产品

微信/QQ登录


首页
