提醒成功

搜索
Rabbit Monoclonal to Tuberin
-
货号:
P17271 -
别名:
TSC2; Tuberous sclerosis 2 homolog protein; Tuberous sclerosis 2 protein; Tuberin;;Tuberin -
应用:
WB;IHC;FCM -
反应种属:
Human,Mouse,Rat -
抗体类型:
Primary antibody -
Swissprot:
P49815 -
规格:
-
数量:
-+ -
说明书:
目录价¥2180

Rabbit Monoclonal to Tuberin
Description |
---|
Catalytic component of the TSC-TBC complex, a multiprotein complex that acts as a negative regulator of the canonical mTORC1 complex, an evolutionarily conserved central nutrient sensor that stimulates anabolic reactions and macromolecule biosynthesis to promote cellular biomass generation and growth.Within the TSC-TBC complex, TSC2 acts as a GTPase-activating protein (GAP) for the small GTPase RHEB, a direct activator of the protein kinase activity of mTORC1. |
Specification |
|
---|---|
Aliases | TSC2; Tuberous sclerosis 2 homolog protein; Tuberous sclerosis 2 protein; Tuberin;;Tuberin |
Swissprot | P49815 |
WB Predicted band size | Calculated MW: 201 kDa ; Observed MW: 200 kDa |
Host/Isotype | Rabbit IgG |
Antibody Type | Primary antibody |
Storage | Store at 4°C short term. Aliquot and store at -20°C long term. Avoid freeze/thaw cycles. |
Species Reactivity | Human,Mouse,Rat |
Immunogen | A synthesized peptide derived from human Tuberin |
Formulation | Purified antibody in PBS with 0.05% sodium azide,0.05% BSA and 50% glycerol. |
Application |
|
---|---|
WB | 1/1000-1/2000 |
IHC | 1/100-1/200 |
FCM | 1/20-1/100 |
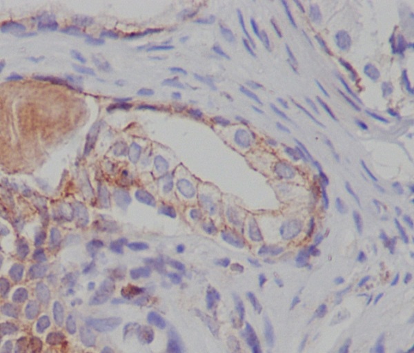
Product Image
- All lanes use the Antibody at 1:2K dilution for 1 hour at room temperature.
- All lanes use the Antibody at 1:2K dilution for 1 hour at room temperature.
- All lanes use the Antibody at 1:1K dilution for 1 hour at room temperature.
- Immunohistochemical analysis of paraffin-embedded human prostate carcinoma, using Tuberin Antibody.
For Reseach Only
Application Key:WB - Western Blot | IHC - Immunohistochemistry | ICC - Immunocytochemistry | FCM - Flow Cytometry | ELISA - Enzyme-linked Immunosorbent Assay | IP - Immunoprecipitation
#P17271

相关产品


