提醒成功
搜索
Rabbit Monoclonal to HIF-1beta
-
货号:
P17244 -
别名:
ARNT;HIF-1beta;HIF1B;HIF1BETA;TANGO;bHLHe2;;HIF 1 beta -
应用:
WB;IHC -
反应种属:
Human -
抗体类型:
Primary antibody -
Swissprot:
P27540 -
规格:
-
数量:
-+ -
说明书:
目录价¥2180
Rabbit Monoclonal to HIF-1beta
Description |
|---|
Required for activity of the AHR. Upon ligand binding, AHR translocates into the nucleus, where it heterodimerizes with ARNT and induces transcription by binding to xenobiotic response elements (XRE). Not required for the ligand-binding subunit to translocate from the cytosol to the nucleus after ligand binding. |
Specification |
|
|---|---|
| Aliases | ARNT;HIF-1beta;HIF1B;HIF1BETA;TANGO;bHLHe2;;HIF 1 beta |
| Swissprot | P27540 |
| WB Predicted band size | 87 kDa |
| Host/Isotype | Rabbit IgG |
| Antibody Type | Primary antibody |
| Storage | Store at 4°C short term. Aliquot and store at -20°C long term. Avoid freeze/thaw cycles. |
| Species Reactivity | Human |
| Immunogen | A synthesized peptide derived from human HIF 1 beta |
| Formulation | Purified antibody in PBS with 0.05% sodium azide,0.05% BSA and 50% glycerol. |
Application |
|
|---|---|
| WB | 1/1000-1/2000 |
| IHC | 1/100-1/200 |
Product Image
- All lanes use the Antibody at 1:1K dilution for 1 hour at room temperature.
- All lanes use the Antibody at 1:1K dilution for 1 hour at room temperature.
- All lanes use the Antibody at 1:1K dilution for 1 hour at room temperature.
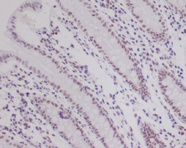
- Immunohistochemical analysis of paraffin-embedded human colon, using HIF-1 beta Antibody .
For Reseach Only
Application Key:WB - Western Blot | IHC - Immunohistochemistry | ICC - Immunocytochemistry | FCM - Flow Cytometry | ELISA - Enzyme-linked Immunosorbent Assay | IP - Immunoprecipitation
#P17244
相关产品

微信/QQ登录


首页
