提醒成功
搜索
Rabbit Monoclonal to PI3 Kinase p85 beta
-
货号:
P17240 -
别名:
p85; p85 beta; P85B; Phosphatidylinositol 3 kinase; PI3 kinase p85 beta subunit; PI3K; PIK3R 2;;PI3 kinase p85 beta -
应用:
WB,IHC/IHF,IF,IP,FCM -
反应种属:
Human,Rat -
抗体类型:
Primary antibody -
Swissprot:
O00459 -
规格:
-
数量:
-+ -
说明书:
目录价¥2180
Rabbit Monoclonal to PI3 Kinase p85 beta
Description |
|---|
Regulatory subunit of phosphoinositide-3-kinase (PI3K), a kinase that phosphorylates PtdIns(4,5)P2 (Phosphatidylinositol 4,5-bisphosphate) to generate phosphatidylinositol 3,4,5-trisphosphate (PIP3). |
Specification |
|
|---|---|
| Aliases | p85; p85 beta; P85B; Phosphatidylinositol 3 kinase; PI3 kinase p85 beta subunit; PI3K; PIK3R 2;;PI3 kinase p85 beta |
| Swissprot | O00459 |
| WB Predicted band size | 82 kDa |
| Host/Isotype | Rabbit IgG |
| Antibody Type | Primary antibody |
| Storage | Store at 4°C short term. Aliquot and store at -20°C long term. Avoid freeze/thaw cycles. |
| Species Reactivity | Human,Rat |
| Immunogen | A synthesized peptide derived from human PI3 kinase p85 beta |
| Formulation | Purified antibody in PBS with 0.05% sodium azide,0.05% BSA and 50% glycerol. |
Application |
|
|---|---|
| WB | 1/1000-1/2000 |
| IP | 1/20-1/50 |
| IHC | IHC:1/100-1/200;IHF:1/50-1/200 |
| IF/ICC | 1/50-1/200 |
| FCM | 1/20-1/100 |
Product Image
- All lanes use the Antibody at 1:2K dilution for 1 hour at room temperature.
- All lanes use the Antibody at 1:2K dilution for 1 hour at room temperature.
- Western blot analysis of PI 3 Kinase p85 beta expression in HeLa cell lysate.
- Immunoprecipitate (IP) analysis using the Antibody at 1:50 dilution. (wb at 1:3K dilution)
- Immunofluorescent analysis using the Antibody at 1:50 dilution.
- Immunofluorescent analysis using the Antibody at 1:150 dilution.
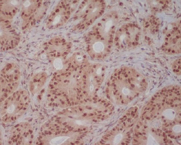
- Immunohistochemical analysis of paraffin-embedded human colon cancer, using PI 3 Kinase p85 beta Antibody.
For Reseach Only
Application Key:WB - Western Blot | IHC - Immunohistochemistry | ICC - Immunocytochemistry | FCM - Flow Cytometry | ELISA - Enzyme-linked Immunosorbent Assay | IP - Immunoprecipitation
#P17240
相关产品

微信/QQ登录


首页
