提醒成功
搜索
Rabbit Monoclonal to TOMM20
-
货号:
P17239 -
别名:
Mitochondrial import receptor subunit TOM20 homolog; Outer mitochondrial membrane receptor Tom20;;TOMM20 -
应用:
WB,IHC/IHF,IF,FCM -
反应种属:
Human,Mouse,Rat -
抗体类型:
Primary antibody -
Swissprot:
Q15388 -
规格:
-
数量:
-+ -
说明书:
目录价¥2180
Rabbit Monoclonal to TOMM20
Description |
|---|
Central component of the receptor complex responsible for the recognition and translocation of cytosolically synthesized mitochondrial preproteins. Together with TOM22 functions as the transit peptide receptor at the surface of the mitochondrion outer membrane and facilitates the movement of preproteins into the TOM40 translocation pore (By similarity).Required for the translocation across the mitochondrial outer membrane of cytochrome P450 monooxygenases. |
Specification |
|
|---|---|
| Aliases | Mitochondrial import receptor subunit TOM20 homolog; Outer mitochondrial membrane receptor Tom20;;TOMM20 |
| Swissprot | Q15388 |
| WB Predicted band size | 16 kDa |
| Host/Isotype | Rabbit IgG |
| Antibody Type | Primary antibody |
| Storage | Store at 4°C short term. Aliquot and store at -20°C long term. Avoid freeze/thaw cycles. |
| Species Reactivity | Human,Mouse,Rat |
| Immunogen | A synthesized peptide derived from human TOMM20 |
| Formulation | Purified antibody in PBS with 0.05% sodium azide,0.05% BSA and 50% glycerol. |
Application |
|
|---|---|
| WB | 1/1000-1/2000 |
| IHC | IHC:1/100-1/200;IHF:1/50-1/200 |
| IF/ICC | 1/50-1/200 |
| FCM | 1/20-1/100 |
Product Image
- All lanes use the Antibody at 1:2K dilution for 1 hour at room temperature.
- All lanes use the Antibody at 1:2K dilution for 1 hour at room temperature.
- Western blot analysis of TOMM20 expression in HepG2 cell lysate.
- Immunofluorescent analysis using the Antibody at 1:50 dilution.
- Immunofluorescent analysis using the Antibody at 1:50 dilution.
- Immunofluorescent analysis using the Antibody at 1:150 dilution.
- Immunofluorescent analysis using the Antibody at 1:200 dilution.
- Immunofluorescent analysis of Hela cells, using TOMM20 Antibody .
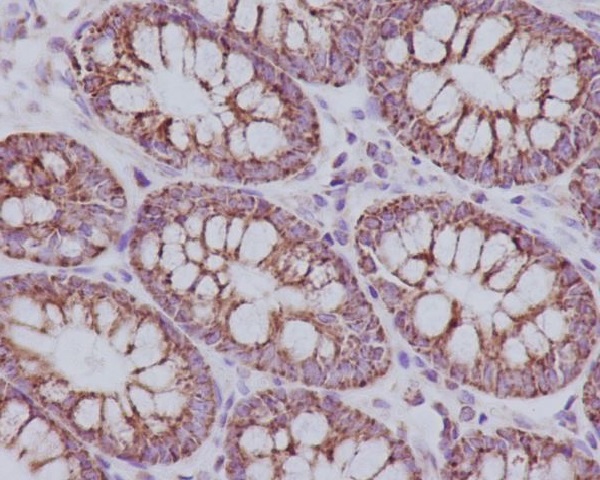
- Immunohistochemical analysis of paraffin-embedded human colon, using TOMM20 Antibody.
For Reseach Only
Application Key:WB - Western Blot | IHC - Immunohistochemistry | ICC - Immunocytochemistry | FCM - Flow Cytometry | ELISA - Enzyme-linked Immunosorbent Assay | IP - Immunoprecipitation
#P17239
相关产品

微信/QQ登录


首页
