提醒成功

搜索
Rabbit Polyclonal Antibody to IGF2BP2
-
货号:
P00445 -
别名:
IMP2; IMP-2; VICKZ2 -
应用:
WB,IHC -
反应种属:
Human, Mouse -
抗体类型:
Primary antibody -
Swissprot:
Q9Y6M1 -
规格:
-
数量:
-+ -
说明书:
目录价¥1980

Rabbit Polyclonal Antibody to IGF2BP2
Description |
---|
This gene encodes a protein that binds the 5' UTR of insulin-like growth factor 2 (IGF2) mRNA and regulates its translation. It plays an important role in metabolism and variation in this gene is associated with susceptibility to diabetes. Alternative splicing and promoter usage results in multiple transcript variants. Related pseudogenes are found on several chromosomes. |
Specification |
|
---|---|
Aliases | IMP2; IMP-2; VICKZ2 |
Swissprot | Q9Y6M1 |
WB Predicted band size | 66 kDa |
Host/Isotype | Rabbit IgG |
Antibody Type | Primary antibody |
Storage | Store at 4°C short term. Aliquot and store at -20°C long term. Avoid freeze/thaw cycles. |
Species Reactivity | Human, Mouse |
Immunogen | Fusion protein of human IGF2BP2 |
Formulation | Purified antibody in PBS with 0.05% sodium azide and 50% glycerol. |
Application |
|
---|---|
WB | 1/1000-1/5000 |
IHC | 1/50-1/200 |
ELISA | 1/5000-1/10000 |
Product Image
- Gel: 8%SDS-PAGE, Lysate: 40 μg, Lane: Mouse heart tissue lysate, Primary antibody: P00445(IGF2BP2 Antibody) at dilution 1/1300, Secondary antibody: Goat anti rabbit IgG at 1/5000 dilution, Exposure time: 10 seconds
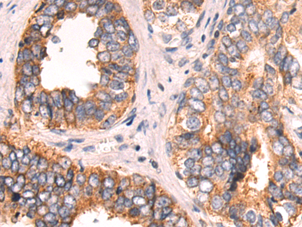
- The image is immunohistochemistry of paraffin-embedded Human prostate cancer tissue using P00445(IGF2BP2 Antibody) at dilution 1/80. (Original magnification: ×200)
- The image is immunohistochemistry of paraffin-embedded Human breast cancer tissue using P00445(IGF2BP2 Antibody) at dilution 1/80. (Original magnification: ×200)
For Reseach Only
Application Key:WB - Western Blot | IHC - Immunohistochemistry | ICC - Immunocytochemistry | FCM - Flow Cytometry | ELISA - Enzyme-linked Immunosorbent Assay | IP - Immunoprecipitation
#P00445

相关产品


