提醒成功

搜索
Rabbit Monoclonal to GM130
-
货号:
P17062 -
别名:
GM130; Gm130 autoantigen; GOLGA 2; Golga2; Golgi autoantigen; Golgin 95;;Golgin subfamily A member 2 -
应用:
WB,IHC/IHF,IF,IP -
反应种属:
Human,Mouse,Rat,Monkey,Cow,Dog -
抗体类型:
Primary antibody -
Swissprot:
Q08379 -
规格:
-
数量:
-+ -
说明书:
目录价¥2180

Rabbit Monoclonal to GM130
Description |
---|
Golgi auto-antigen; probably involved in maintaining cis-Golgi structure. The Golgi apparatus, which participates in glycosylation and transport of proteins and lipids in the secretory pathway, consists of a series of stacked cisternae (flattened membrane sacs). Interactions between the Golgi and microtubules are thought to be important for the reorganization of the Golgi after it fragments during mitosis. This gene encodes one of the golgins, a family of proteins localized to the Golgi. |
Specification |
|
---|---|
Aliases | GM130; Gm130 autoantigen; GOLGA 2; Golga2; Golgi autoantigen; Golgin 95;;Golgin subfamily A member 2 |
Swissprot | Q08379 |
WB Predicted band size | Calculated MW: 113 kDa ; Observed MW: 130 kDa |
Host/Isotype | Rabbit IgG |
Antibody Type | Primary antibody |
Storage | Store at 4°C short term. Aliquot and store at -20°C long term. Avoid freeze/thaw cycles. |
Species Reactivity | Human,Mouse,Rat,Monkey,Cow,Dog |
Immunogen | A synthesized peptide derived from human Golgin subfamily A member 2 |
Formulation | Purified antibody in PBS with 0.05% sodium azide,0.05% BSA and 50% glycerol. |
Application |
|
---|---|
WB | 1/1000-1/2000 |
IP | 1/20-1/50 |
IHC | IHC:1/100-1/200;IHF:1/50-1/200 |
IF/ICC | 1/50-1/200 |
Product Image
- All lanes use the Antibody at 1:2K dilution for 1 hour at room temperature.
- All lanes use the Antibody at 1:2K dilution for 1 hour at room temperature.
- All lanes use the Antibody at 1:1K dilution for 1 hour at room temperature.
- Immunofluorescent analysis using the Antibody at 1:200 dilution.
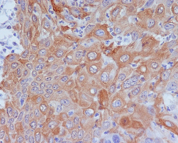
- Immunohistochemical analysis of paraffin-embedded human cervix carcinoma, using GM130 Antibody.
For Reseach Only
Application Key:WB - Western Blot | IHC - Immunohistochemistry | ICC - Immunocytochemistry | FCM - Flow Cytometry | ELISA - Enzyme-linked Immunosorbent Assay | IP - Immunoprecipitation
#P17062

相关产品


