提醒成功

搜索
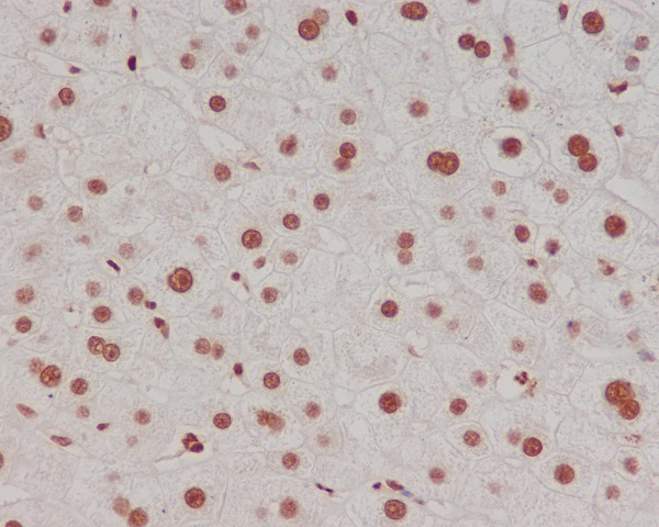
Rabbit Monoclonal to Methyl-Histone H3(diK4)
-
货号:
P17058 -
别名:
Histone H3.1; Histone H3; HIST1H3A; H3K4me2;;DiMethyl-Histone H3 (K5) -
应用:
WB,IHC/IHF,IF,IP/ChIP,FCM -
反应种属:
Human,Mouse,Rat -
抗体类型:
Primary antibody -
Swissprot:
P68431 -
规格:
-
数量:
-+ -
说明书:
目录价¥2180

Rabbit Monoclonal to Methyl-Histone H3(diK4)
Description |
---|
Core component of nucleosome. Nucleosomes wrap and compact DNA into chromatin, limiting DNA accessibility to the cellular machineries which require DNA as a template. Histones thereby play a central role in transcription regulation, DNA repair, DNA replication and chromosomal stability. DNA accessibility is regulated via a complex set of post-translational modifications of histones, also called histone code, and nucleosome remodeling. |
Specification |
|
---|---|
Aliases | Histone H3.1; Histone H3; HIST1H3A; H3K4me2;;DiMethyl-Histone H3 (K5) |
Swissprot | P68431 |
WB Predicted band size | 15 kDa |
Host/Isotype | Rabbit IgG |
Antibody Type | Primary antibody |
Storage | Store at 4°C short term. Aliquot and store at -20°C long term. Avoid freeze/thaw cycles. |
Species Reactivity | Human,Mouse,Rat |
Immunogen | A synthesized peptide derived from human Histone H3.1 around the methylation site of K5 |
Formulation | Purified antibody in PBS with 0.05% sodium azide,0.05% BSA and 50% glycerol. |
Application |
|
---|---|
WB | 1/1000-1/2000 |
IP | ChIP:1/20-1/50 |
IHC | IHC:1/100-1/200;IHF:1/50-1/200 |
IF/ICC | 1/50-1/200 |
FCM | 1/20-1/100 |
Product Image
For Reseach Only
Application Key:WB - Western Blot | IHC - Immunohistochemistry | ICC - Immunocytochemistry | FCM - Flow Cytometry | ELISA - Enzyme-linked Immunosorbent Assay | IP - Immunoprecipitation
#P17058

相关产品


