提醒成功

搜索
Rabbit Monoclonal to Collagen I
-
货号:
P17056 -
别名:
Collagen alpha-1(I) chain, Alpha-1 type I collagen, COL1A1;;Collagen I -
应用:
WB;IHC -
反应种属:
Human,Cow -
抗体类型:
Primary antibody -
Swissprot:
P02452/P08123 -
规格:
-
数量:
-+ -
说明书:
目录价¥2180

Rabbit Monoclonal to Collagen I
Description |
---|
Type I collagen is a member of group I collagen (fibrillar forming collagen). |
Specification |
|
---|---|
Aliases | Collagen alpha-1(I) chain, Alpha-1 type I collagen, COL1A1;;Collagen I |
Swissprot | P02452/P08123 |
WB Predicted band size | Calculated MW: 139,129 kDa ; Observed MW: 139 kDa |
Host/Isotype | Rabbit IgG |
Antibody Type | Primary antibody |
Storage | Store at 4°C short term. Aliquot and store at -20°C long term. Avoid freeze/thaw cycles. |
Species Reactivity | Human,Cow |
Immunogen | A synthesized peptide derived from human Collagen I |
Formulation | Purified antibody in PBS with 0.05% sodium azide,0.05% BSA and 50% glycerol. |
Application |
|
---|---|
WB | 1/1000-1/2000 |
IHC | 1/100-1/200 |
Product Image
- Western blot analysis of Collagen I in Human stomach tissue lysate.
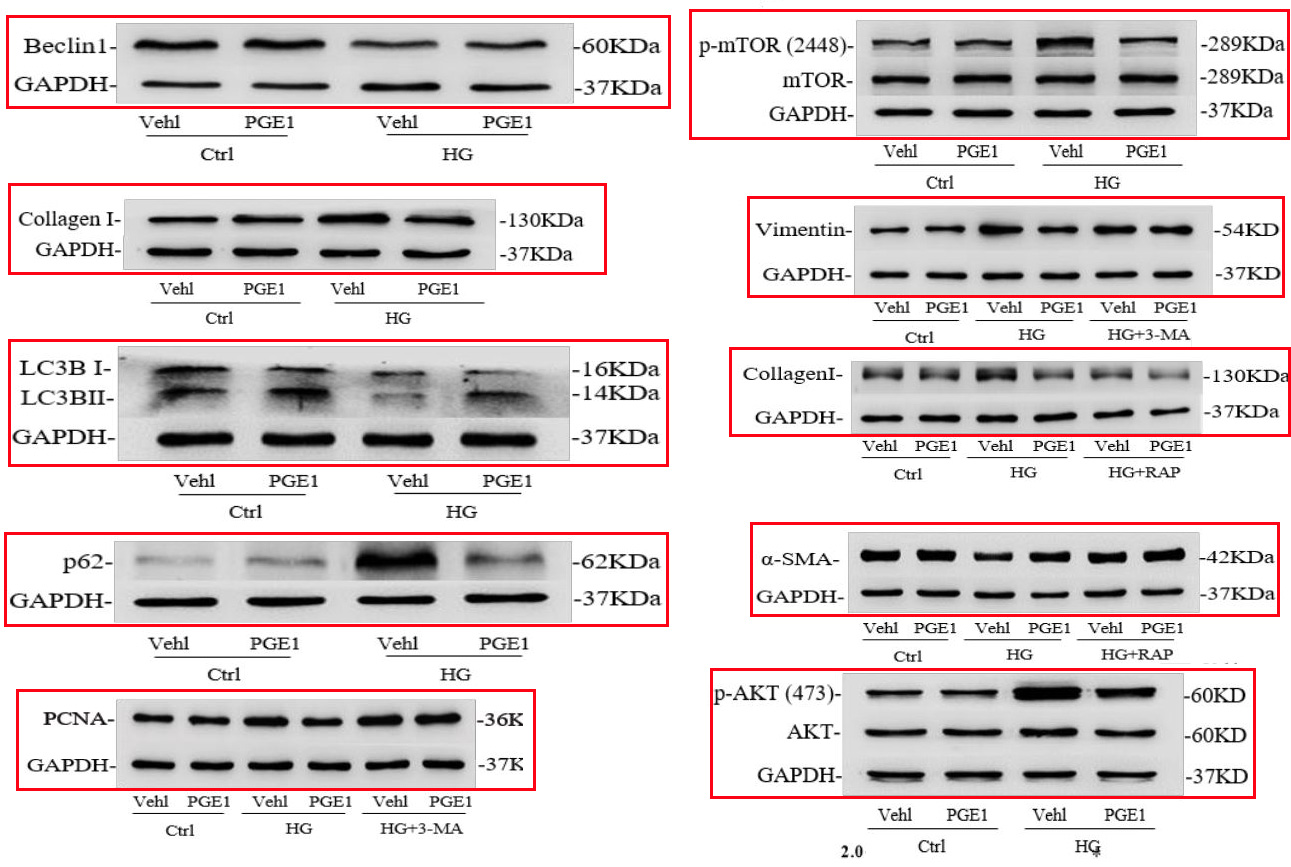
- Prostaglandin E1 Inhibited Diabetes-Induced Phenotypic Switching of Vascular Smooth Muscle Cells Through Activating Autophagy. -Cellular Physiology and Biochemistry
- Erjingwan Extracts Exert Antiaging Effects of Skin through Activating Nrf2 and Inhibiting NF-B. -Evidence-based Complementary and Alternative Medicine
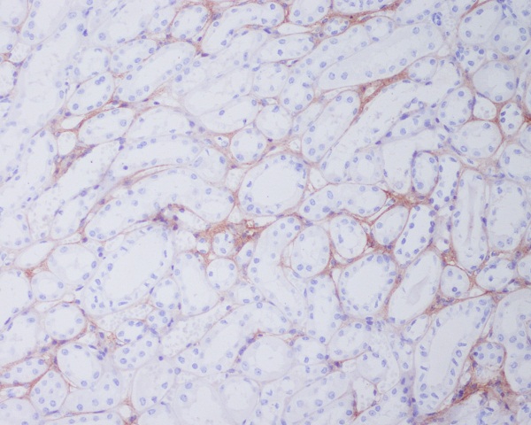
- Immunohistochemical analysis of paraffin-embedded human kidney, using Collagen I Antibody.
For Reseach Only
Application Key:WB - Western Blot | IHC - Immunohistochemistry | ICC - Immunocytochemistry | FCM - Flow Cytometry | ELISA - Enzyme-linked Immunosorbent Assay | IP - Immunoprecipitation
#P17056

相关产品


