提醒成功

搜索
Rabbit Monoclonal to HMGB1
-
货号:
P17030 -
别名:
HMGB1; HMG3; HMG1; SBP 1; Amphoterin;;HMGB1 -
应用:
WB,IHC/IHF,IF,FCM -
反应种属:
Human,Mouse,Rat -
抗体类型:
Primary antibody -
Swissprot:
P09429 -
规格:
-
数量:
-+ -
说明书:
目录价¥2180

Rabbit Monoclonal to HMGB1
Description |
---|
Multifunctional redox sensitive protein with various roles in different cellular compartments. In the nucleus is one of the major chromatin-associated non-histone proteins and acts as a DNA chaperone involved in replication, transcription, chromatin remodeling, V(D)J recombination, DNA repair and genome stability. |
Specification |
|
---|---|
Aliases | HMGB1; HMG3; HMG1; SBP 1; Amphoterin;;HMGB1 |
Swissprot | P09429 |
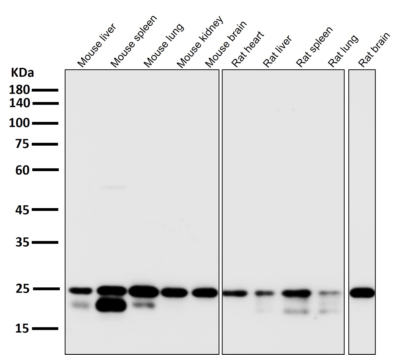
WB Predicted band size | 25 kDa |
Host/Isotype | Rabbit IgG |
Antibody Type | Primary antibody |
Storage | Store at 4°C short term. Aliquot and store at -20°C long term. Avoid freeze/thaw cycles. |
Species Reactivity | Human,Mouse,Rat |
Immunogen | A synthesized peptide derived from human HMGB1 |
Formulation | Purified antibody in PBS with 0.05% sodium azide,0.05% BSA and 50% glycerol. |
Application |
|
---|---|
WB | 1/1000-1/2000 |
IHC | IHC:1/100-1/200;IHF:1/50-1/200 |
IF/ICC | 1/50-1/200 |
FCM | 1/20-1/100 |
Product Image
- All lanes use the Antibody at 1:2K dilution for 1 hour at room temperature.
- All lanes use the Antibody at 1:2K dilution for 1 hour at room temperature.
- All lanes use the Antibody at 1:2K dilution for 1 hour at room temperature.
- All lanes use the Antibody at 1:2K dilution for 1 hour at room temperature.
- All lanes use the Antibody at 1:2K dilution for 1 hour at room temperature.
- Western blot analysis of HMGB1 expression in (1)HeLa cell lysate; (2)Rat brain lysate.
- Immunohistochemical analysis of paraffin-embedded Rat liver, using the Antibody at 1:200 dilution.
- Immunohistochemical analysis of paraffin-embedded Rat kidney, using the Antibody at 1:200 dilution.
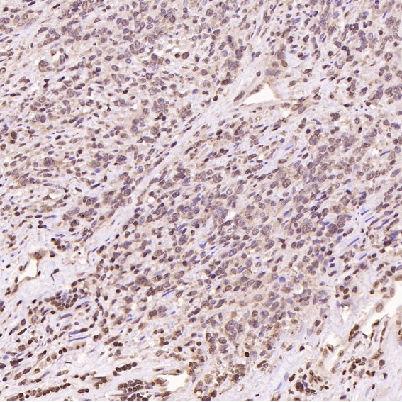
- Immunohistochemical analysis of paraffin-embedded Human non-Hodgkin's lymphoma, using the Antibody at 1:100 dilution.
For Reseach Only
Application Key:WB - Western Blot | IHC - Immunohistochemistry | ICC - Immunocytochemistry | FCM - Flow Cytometry | ELISA - Enzyme-linked Immunosorbent Assay | IP - Immunoprecipitation
#P17030

相关产品


