提醒成功

搜索
Rabbit Monoclonal to ECadherin
-
货号:
P17006 -
别名:
Arc1;Cadherin 1;CAM 120/80;CD324;CDHE;E-Cad/CTF3;ECAD;Epithelial cadherin ;LCAM;Uvomorulin;CDH1;;E Cadherin -
应用:
WB,IHC/IHF,IF,FCM -
反应种属:
Human -
抗体类型:
Primary antibody -
Swissprot:
Q15582 -
规格:
-
数量:
-+ -
说明书:
目录价¥2180

Rabbit Monoclonal to ECadherin
Description |
---|
Cadherins are calcium-dependent cell adhesion proteins. They preferentially interact with themselves in a homophilic manner in connecting cells; cadherins may thus contribute to the sorting of heterogeneous cell types. CDH1 is involved in mechanisms regulating cell-cell adhesions, mobility and proliferation of epithelial cells. |
Specification |
|
---|---|
Aliases | Arc1;Cadherin 1;CAM 120/80;CD324;CDHE;E-Cad/CTF3;ECAD;Epithelial cadherin ;LCAM;Uvomorulin;CDH1;;E Cadherin |
Swissprot | Q15582 |
WB Predicted band size | Calculated MW: 97 kDa ; Observed MW: 135 kDa |
Host/Isotype | Rabbit IgG |
Antibody Type | Primary antibody |
Storage | Store at 4°C short term. Aliquot and store at -20°C long term. Avoid freeze/thaw cycles. |
Species Reactivity | Human |
Immunogen | A synthesized peptide derived from human E Cadherin |
Formulation | Purified antibody in PBS with 0.05% sodium azide,0.05% BSA and 50% glycerol. |
Application |
|
---|---|
WB | 1/1000-1/5000 |
IHC | IHC:1/100-1/200;IHF:1/50-1/200 |
IF/ICC | 1/50-1/200 |
FCM | 1/20-1/100 |
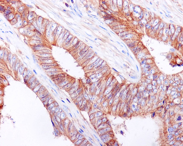
Product Image
- All lanes use the Antibody at 1:5K dilution for 1 hour at room temperature.
- Western blot analysis of E-cadherin expression in MCF7 cell lysate.
- SLC25A22 promotes proliferation and metastasis by activating MAPK/ERK pathway in gallbladder cancer. -Cancer Cell International
- Immunofluorescent analysis using the Antibody (green) at 1:50 dilution, Red:Phalloidin-T ; Blue:DAPI
- Immunohistochemical analysis of paraffin-embedded human colon cancer, using E Cadherin Antibody.
For Reseach Only
Application Key:WB - Western Blot | IHC - Immunohistochemistry | ICC - Immunocytochemistry | FCM - Flow Cytometry | ELISA - Enzyme-linked Immunosorbent Assay | IP - Immunoprecipitation
#P17006

相关产品


