提醒成功

搜索
Rabbit Monoclonal to TGFBI
-
货号:
P17005 -
别名:
Beta ig; Beta ig h3; Beta ig-h3; BGH3_HUMAN; Big h3; BIGH3; CDB1; CDG2; CDGG1; CSD; CSD1; CSD2; CSD3; EBMD; Kerato epithelin; Kerato-epithelin; LCD1;;TGFBI -
应用:
WB,IHC/IHF,IF, -
反应种属:
Human,Mouse,Rat -
抗体类型:
Primary antibody -
Swissprot:
Q15582 -
规格:
-
数量:
-+ -
说明书:
目录价¥2180

Rabbit Monoclonal to TGFBI
Description |
---|
Plays a role in cell adhesion.May play a role in cell-collagen interactions (By similarity). |
Specification |
|
---|---|
Aliases | Beta ig; Beta ig h3; Beta ig-h3; BGH3_HUMAN; Big h3; BIGH3; CDB1; CDG2; CDGG1; CSD; CSD1; CSD2; CSD3; EBMD; Kerato epithelin; Kerato-epithelin; LCD1;;TGFBI |
Swissprot | Q15582 |
WB Predicted band size | Calculated MW: 75 kDa ; Observed MW: 68 kDa |
Host/Isotype | Rabbit IgG |
Antibody Type | Primary antibody |
Storage | Store at 4°C short term. Aliquot and store at -20°C long term. Avoid freeze/thaw cycles. |
Species Reactivity | Human,Mouse,Rat |
Immunogen | A synthesized peptide derived from human TGFBI |
Formulation | Purified antibody in PBS with 0.05% sodium azide,0.05% BSA and 50% glycerol. |
Application |
|
---|---|
WB | 1/1000-1/2000 |
IHC | IHC:1/100-1/200;IHF:1/50-1/200 |
IF/ICC | 1/50-1/200 |
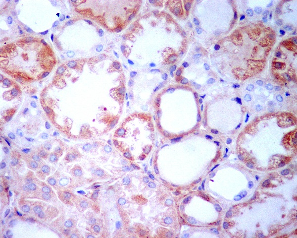
Product Image
- All lanes use the Antibody at 1:1K dilution for 1 hour at room temperature.
- All lanes use the Antibody at 1:1K dilution for 1 hour at room temperature.
- Western blot analysis of TGFBI expression in Human fetal kidney lysate.
- Immunohistochemical analysis of paraffin-embedded human kideny, using TGFBI Antibody.
For Reseach Only
Application Key:WB - Western Blot | IHC - Immunohistochemistry | ICC - Immunocytochemistry | FCM - Flow Cytometry | ELISA - Enzyme-linked Immunosorbent Assay | IP - Immunoprecipitation
#P17005

相关产品


