提醒成功

搜索
Rabbit Monoclonal to Lamin B1
-
货号:
P17003 -
别名:
LMN; ADLD; LMN2; LMNB; Lamin B1;;Lamin B1 -
应用:
WB,IHC/IHF,IF,IP -
反应种属:
Human,Mouse,Rat -
抗体类型:
Primary antibody -
Swissprot:
P20700 -
规格:
-
数量:
-+ -
说明书:
目录价¥2180

Rabbit Monoclonal to Lamin B1
Description |
---|
Lamins are intermediate filament proteins that assemble into a filamentous meshwork, and which constitute the major components of the nuclear lamina, a fibrous layer on the nucleoplasmic side of the inner nuclear membrane. |
Specification |
|
---|---|
Aliases | LMN; ADLD; LMN2; LMNB; Lamin B1;;Lamin B1 |
Swissprot | P20700 |
WB Predicted band size | Calculated MW: 66 kDa ; Observed MW: 70 kDa |
Host/Isotype | Rabbit IgG |
Antibody Type | Primary antibody |
Storage | Store at 4°C short term. Aliquot and store at -20°C long term. Avoid freeze/thaw cycles. |
Species Reactivity | Human,Mouse,Rat |
Immunogen | A synthesized peptide derived from human Lamin B1 |
Formulation | Purified antibody in PBS with 0.05% sodium azide,0.05% BSA and 50% glycerol. |
Application |
|
---|---|
WB | 1/5000-1/10000 |
IP | 1/50-1/100 |
IHC | 1/100-1/500 |
IF/ICC | 1/100-1/500 |
Product Image
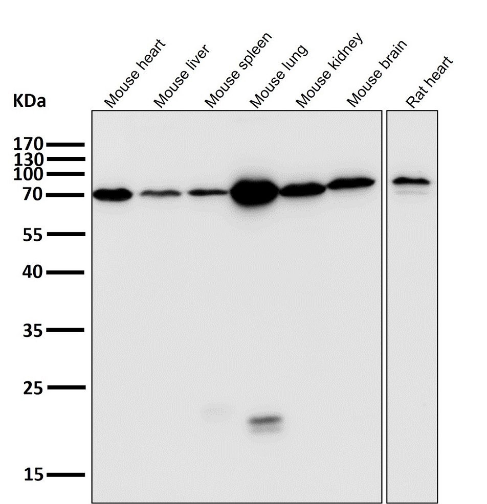
- All lanes use AB0054 Lamin B1 Antibody at 1:10000 dilution for 1 hour at room temperature.
- All lanes use AB0054 Lamin B1 Antibody at 1:10000 dilution for 1 hour at room temperature.
- All lanes use AB0054 Lamin B1 Antibody at 1:10000 dilution for 1 hour at room temperature.
- Immunofluorescent analysis of HepG2 cells, using Lamin B1 Antibody.
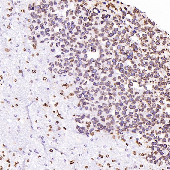
- Immunohistochemical analysis of paraffin-embedded Human non-Hodgkin's lymphoma, using the Antibody at 1:100 dilution.
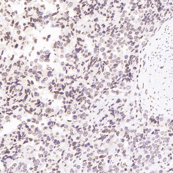
- Immunohistochemical analysis of paraffin-embedded Human glioblastoma, using the Antibody at 1:100 dilution.
- Immunohistochemical analysis of paraffin-embedded Human prostate cancer, using the Antibody at 1:100 dilution.
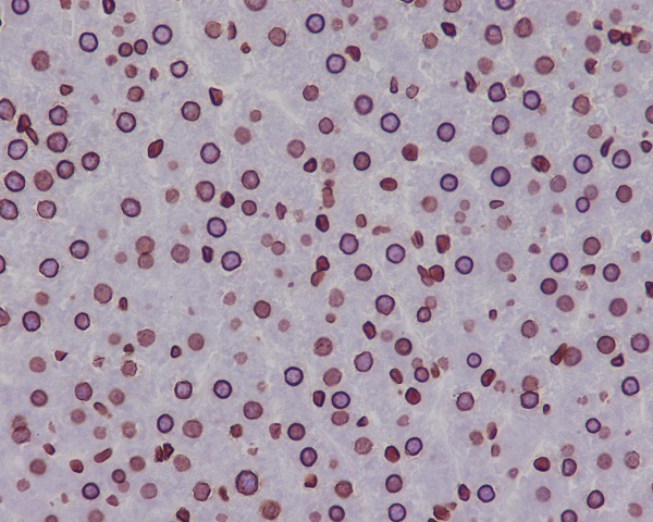
- Immunohistochemical analysis of paraffin-embedded rat liver, using Lamin B1 Antibody.
For Reseach Only
Application Key:WB - Western Blot | IHC - Immunohistochemistry | ICC - Immunocytochemistry | FCM - Flow Cytometry | ELISA - Enzyme-linked Immunosorbent Assay | IP - Immunoprecipitation
#P17003

相关产品


