提醒成功
搜索
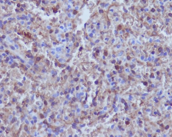
Rabbit Monoclonal to Hemoglobin subunit alpha
-
货号:
P17272 -
别名:
HBA2; Alpha globin; Alpha-2 globin; HBH; Hemoglobin alpha chain; Hemoglobin A1c; Hemoglobin subunit alpha; Hemoglobin alpha 2; Alpha-globin;;Hemoglobin alpha -
应用:
WB;IHC;IP;FCM -
反应种属:
Human,Mouse,Rat -
抗体类型:
Primary antibody -
Swissprot:
P69905 -
规格:
-
数量:
-+ -
说明书:
目录价¥2180
Rabbit Monoclonal to Hemoglobin subunit alpha
Description |
|---|
Involved in oxygen transport from the lung to the various peripheral tissues. |
Specification |
|
|---|---|
| Aliases | HBA2; Alpha globin; Alpha-2 globin; HBH; Hemoglobin alpha chain; Hemoglobin A1c; Hemoglobin subunit alpha; Hemoglobin alpha 2; Alpha-globin;;Hemoglobin alpha |
| Swissprot | P69905 |
| WB Predicted band size | 15 kDa |
| Host/Isotype | Rabbit IgG |
| Antibody Type | Primary antibody |
| Storage | Store at 4°C short term. Aliquot and store at -20°C long term. Avoid freeze/thaw cycles. |
| Species Reactivity | Human,Mouse,Rat |
| Immunogen | A synthesized peptide derived from human Hemoglobin alpha |
| Formulation | Purified antibody in PBS with 0.05% sodium azide,0.05% BSA and 50% glycerol. |
Application |
|
|---|---|
| WB | 1/1000-1/2000 |
| IP | 1/20-1/50 |
| IHC | 1/100-1/200 |
| FCM | 1/20-1/100 |
Product Image
For Reseach Only
Application Key:WB - Western Blot | IHC - Immunohistochemistry | ICC - Immunocytochemistry | FCM - Flow Cytometry | ELISA - Enzyme-linked Immunosorbent Assay | IP - Immunoprecipitation
#P17272
相关产品

微信/QQ登录


首页
