提醒成功

搜索
Human Recombinant Human Monoclonal Antibody to FTCD
-
货号:
P16608 -
别名:
-
应用:
WB,IHC -
反应种属:
Human -
抗体类型:
Primary antibody -
Swissprot:
O95954 -
规格:
-
数量:
-+ -
说明书:
目录价¥2180

Human Recombinant Human Monoclonal Antibody to FTCD
Specification |
|
---|---|
Swissprot | O95954 |
Host/Isotype | Human IgG1 |
Antibody Type | Primary antibody |
Storage | Store at 4°C short term. Aliquot and store at -20°C long term. Avoid freeze/thaw cycles. |
Species Reactivity | Human |
Immunogen | Purified recombinant fragment of human FTCD |
Formulation | Purified antibody in PBS with 0.05% sodium azide |
Application |
|
---|---|
WB | 1/500-1/1000 |
IHC | 1/100-1/200 |
Product Image
- 96-well microtitre plates were coated with 1 µg/mL of FTCD protein at 4 °C overnight. Plates were blocked with 2 % BSA in PBS-T (0.1 % Tween) at room temperature for 1 hour. Serial diluted of P16608 was used as the primary antibody and added into the plates for 1 hour incubation. Plates were washed with PBS-T for three times and then incubated with HRP conjugated Human IgG1 for 1 hour. After washed with PBS-T for three times, the plates were incubated with ABTS for 15 minute. The absorbance (optical density) was read with a plate reader.
- Western blot analysis using FTCD mAb against Hep G2 lysate
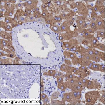
- IHC-P analysis of liver tissue by FTCD antibody (P16608) IHC-P was performed using sections of the formalin-fixed paraffin-embedded liver tissue;Result: Hepatocytes are positively stained at the cytoplasm.
For Reseach Only
Application Key:WB - Western Blot | IHC - Immunohistochemistry | ICC - Immunocytochemistry | FCM - Flow Cytometry | ELISA - Enzyme-linked Immunosorbent Assay | IP - Immunoprecipitation
#P16608

相关产品


