提醒成功

搜索
Mouse Monoclonal Antibody to PSMD1
-
货号:
P16250 -
别名:
-
应用:
WB,IHC -
反应种属:
Human -
抗体类型:
Primary antibody -
Swissprot:
Q99460 -
规格:
-
数量:
-+ -
说明书:
目录价¥2180

Mouse Monoclonal Antibody to PSMD1
Specification |
|
---|---|
Swissprot | Q99460 |
Host/Isotype | Mouse IgG1 |
Antibody Type | Primary antibody |
Storage | Store at 4°C short term. Aliquot and store at -20°C long term. Avoid freeze/thaw cycles. |
Species Reactivity | Human |
Immunogen | Purified recombinant fragment of human PSMD1 |
Formulation | Purified antibody in PBS with 0.05% sodium azide |
Application |
|
---|---|
WB | 1/500-1/1000 |
IHC | 1/500 |
Product Image
- Western blot analysis using PSMD1 mouse mAb against Hep G2 lysate
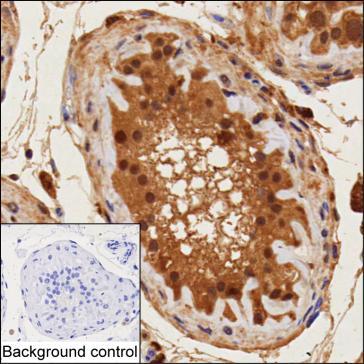
- IHC-P analysis of testis tissue by PSMD1 antibody (P16250) IHC-P was performed using sections of the formalin-fixed paraffin-embedded testis tissue;Result: Cells in seminiferous ducts are positively stained at the cytoplasm and nuclei.
For Reseach Only
Application Key:WB - Western Blot | IHC - Immunohistochemistry | ICC - Immunocytochemistry | FCM - Flow Cytometry | ELISA - Enzyme-linked Immunosorbent Assay | IP - Immunoprecipitation
#P16250

相关产品


