提醒成功

搜索
Mouse Monoclonal Antibody to LMOD1
-
货号:
P16172 -
别名:
-
应用:
WB,IHC,IP -
反应种属:
Human -
抗体类型:
Primary antibody -
Swissprot:
P29536 -
规格:
-
数量:
-+ -
说明书:
目录价¥2180

Mouse Monoclonal Antibody to LMOD1
Specification |
|
---|---|
Swissprot | P29536 |
Host/Isotype | Mouse IgG1 |
Antibody Type | Primary antibody |
Storage | Store at 4°C short term. Aliquot and store at -20°C long term. Avoid freeze/thaw cycles. |
Species Reactivity | Human |
Immunogen | Purified recombinant fragment of human LMOD1 |
Formulation | Purified antibody in PBS with 0.05% sodium azide |
Application |
|
---|---|
WB | 1/500-1/1000 |
IP | 1/100-1/200 |
IHC | 1/100-1/200 |
Product Image
- Western blot analysis using LMOD1 mouse mAb against rat uterus tissue lysate
- Lane 1: Rat uterus tissue lysate; Lane 2: LMOD1 immunoprecipitated from rat uterus tissue lysate by P16172; Lane 3: The same as Lane 2 but use IgG isotype control antibody;Result: P16172 can immunoprecipitate LMOD1;
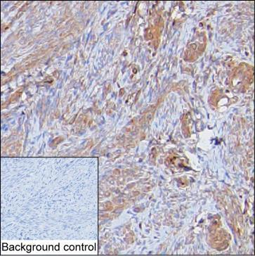
- IHC-P analysis of endometrial smooth muscle tissue by LMOD1 antibody (P16172) IHC-P was performed using sections of the formalin-fixed paraffin-embedded endometrial smooth muscle tissue;Result: Smooth muscle cells are positively stained at the cytoplasm.
For Reseach Only
Application Key:WB - Western Blot | IHC - Immunohistochemistry | ICC - Immunocytochemistry | FCM - Flow Cytometry | ELISA - Enzyme-linked Immunosorbent Assay | IP - Immunoprecipitation
#P16172

相关产品


