提醒成功

搜索
Mouse Monoclonal Antibody to LAYN
-
货号:
P16132 -
别名:
-
应用:
WB,IHC,IP -
反应种属:
Human -
抗体类型:
Primary antibody -
Swissprot:
Q6UX15 -
规格:
-
数量:
-+ -
说明书:
目录价¥2180

Mouse Monoclonal Antibody to LAYN
Specification |
|
---|---|
Swissprot | Q6UX15 |
Host/Isotype | Mouse IgG2b |
Antibody Type | Primary antibody |
Storage | Store at 4°C short term. Aliquot and store at -20°C long term. Avoid freeze/thaw cycles. |
Species Reactivity | Human |
Immunogen | Purified recombinant fragment of human LAYN |
Formulation | Purified antibody in PBS with 0.05% sodium azide |
Application |
|
---|---|
WB | 1/500-1/1000 |
IP | 1/100-1/200 |
IHC | 1/100-1/200 |
Product Image
- Lane 1: 15 µg of MCF7 lysate; Lane 2: 15 µg of U-251MG lysate; Lane 3: 15 µg of K-562 lysate;Result: P16132 can detect LAYN by Western blotting;
- Lane 1: K-562 lysate; Lane 2: LAYN immunoprecipitated from K-562 lysate by P16132; Lane 3: The same as Lane 2 but use IgG isotype control antibody;Result: P16132 can immunoprecipitate LAYN;
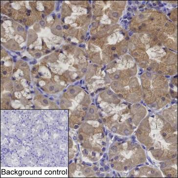
- IHC-P analysis of stomach tissue by LAYN antibody (P16132) IHC-P was performed using sections of the formalin-fixed paraffin-embedded stomach tissue;Result: Glandular cells are positively stained at the cytoplasm.
For Reseach Only
Application Key:WB - Western Blot | IHC - Immunohistochemistry | ICC - Immunocytochemistry | FCM - Flow Cytometry | ELISA - Enzyme-linked Immunosorbent Assay | IP - Immunoprecipitation
#P16132

相关产品


