提醒成功

搜索
Rat Monoclonal Antibody to Histone H3K9ac
-
货号:
P15805 -
别名:
-
应用:
WB,IHC,IP -
反应种属:
Human -
抗体类型:
Primary antibody -
Swissprot:
P68431/P84243 -
规格:
-
数量:
-+ -
说明书:
目录价¥2180

Rat Monoclonal Antibody to Histone H3K9ac
Specification |
|
---|---|
Swissprot | P68431/P84243 |
Host/Isotype | Rat IgG1 |
Antibody Type | Primary antibody |
Storage | Store at 4°C short term. Aliquot and store at -20°C long term. Avoid freeze/thaw cycles. |
Species Reactivity | Human |
Immunogen | Purified recombinant fragment of human Histone H3K9ac |
Formulation | Purified antibody in PBS with 0.05% sodium azide |
Application |
|
---|---|
WB | 1/500-1/1000 |
IP | 1/100-1/200 |
IHC | 1/500 |
Product Image
- Microtiter wells were coated with various peptides. P15805 was used as the primary antibody and peroxidase conjugated goat anti-rat IgG was used as the the secondary antibody. Result: P15805 specifically reacts with acetylated H3K9ac.
- Lane 1: 15 µg of MCF-7 lysate; Lane 2: 15 µg of MCF-7 lysate treated with 1 mM sodium butyrate for 6 hs; Lane 3: 15 µg of MCF-7 lysate treated with 5 mM sodium butyrate for 6 hs;Lane 4: 15 µg of MCF-7 lysate treated with 10 mM sodium butyrate for 6 hs; Result: P15805 can detect H3K9ac by Western blotting.
- Lane 1: 15 µg of HeLa lysate; Lane 2: H3K9ac immunoprecipitated from HeLa lysate by P15805; Lane 3: The same as Lane 2 but use IgG isotype control antibody;Result: P15805 can immunoprecipitate H3K9ac;
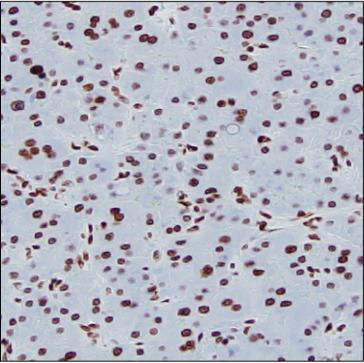
- IHC-P analysis in hepatocellular carcinoma tissue by H3K9ac antibody (P15805) Immunohistochemistry was performed using sections of the formalin-fixed paraffin- embedded hepatocellular carcinoma tissue;Result: Vitually all cells are stained at nuclei.
For Reseach Only
Application Key:WB - Western Blot | IHC - Immunohistochemistry | ICC - Immunocytochemistry | FCM - Flow Cytometry | ELISA - Enzyme-linked Immunosorbent Assay | IP - Immunoprecipitation
#P15805

相关产品


