提醒成功
搜索
Rat Monoclonal Antibody to Mapre2
-
货号:
P15800 -
别名:
-
应用:
WB,IHC,IP -
反应种属:
Mouse, Human, Rat, Ape, Hamster -
抗体类型:
Primary antibody -
Swissprot:
Q8R001 -
规格:
-
数量:
-+ -
说明书:
目录价¥2180
Rat Monoclonal Antibody to Mapre2
Specification |
|
|---|---|
| Swissprot | Q8R001 |
| Host/Isotype | Rat IgG2b |
| Antibody Type | Primary antibody |
| Storage | Store at 4°C short term. Aliquot and store at -20°C long term. Avoid freeze/thaw cycles. |
| Species Reactivity | Mouse, Human, Rat, Ape, Hamster |
| Immunogen | Purified recombinant fragment of mouse Mapre2 |
| Formulation | Purified antibody in PBS with 0.05% sodium azide |
Application |
|
|---|---|
| WB | 1/500-1/1000 |
| IP | 1/100-1/200 |
| IHC | 1/100-1/200 |
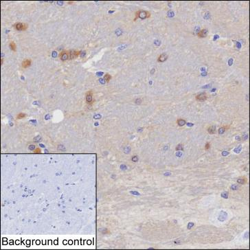
Product Image
- Lane 1: 15 µg of rat brain tissue lysate; Lane 2: 15 µg of mouse brain tissue lysate; Lane 3: 15 µg of NIH-3T3 lysate;Lane 4: 15 µg of PMA treated Jurkat lysate; Result: P15800 can detect Mapre2 by Western blotting.
- Lane 1: Rat brain tissue lysate; Lane 2: Mapre2 immunoprecipitated from rat brain tissue lysate by P15800 ; Lane 3: The same as Lane 2 but use IgG isotype control antibody ;Result: P15800 can immunoprecipitate Mapre2;
- IHC-P analysis of mouse brain tissue by Mapre2 Antibody (P15800) IHC-P was performed using sections of the formalin-fixed paraffin-embedded mouse brain tissue;Result: Nerve cells are positively stained at the cytoplasm.
For Reseach Only
Application Key:WB - Western Blot | IHC - Immunohistochemistry | ICC - Immunocytochemistry | FCM - Flow Cytometry | ELISA - Enzyme-linked Immunosorbent Assay | IP - Immunoprecipitation
#P15800
相关产品

微信/QQ登录


首页
