提醒成功
搜索
Mouse Monoclonal Antibody to KPNA1
-
货号:
P15504 -
别名:
-
应用:
WB,IHC -
反应种属:
Human, Mouse -
抗体类型:
Primary antibody -
Swissprot:
P52294 -
规格:
-
数量:
-+ -
说明书:
目录价¥2180
Mouse Monoclonal Antibody to KPNA1
Specification |
|
|---|---|
| Swissprot | P52294 |
| Host/Isotype | Mouse IgG1 |
| Antibody Type | Primary antibody |
| Storage | Store at 4°C short term. Aliquot and store at -20°C long term. Avoid freeze/thaw cycles. |
| Species Reactivity | Human, Mouse |
| Immunogen | Purified recombinant fragment of human KPNA1 |
| Formulation | Purified antibody in PBS with 0.05% sodium azide |
Application |
|
|---|---|
| WB | 1/500-1/1000 |
| IHC | 1/100-1/200 |
Product Image
- Western blot analysis using KPNA1 mouse mAb against U-251MG lysate and mouse brain
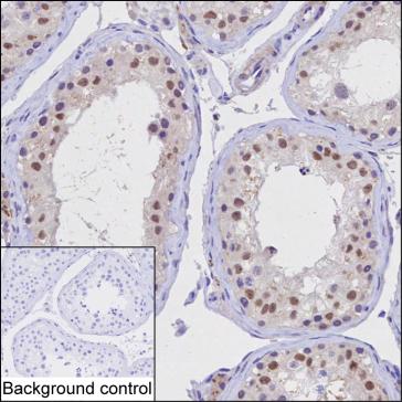
- IHC-P analysis of testis tissue by KPNA1 antibody (P15504) IHC-P was performed using sections of the formalin-fixed paraffin-embedded testis tissue;Result: Cells in seminiferous ducts are positively stained at the nuclei.
For Reseach Only
Application Key:WB - Western Blot | IHC - Immunohistochemistry | ICC - Immunocytochemistry | FCM - Flow Cytometry | ELISA - Enzyme-linked Immunosorbent Assay | IP - Immunoprecipitation
#P15504
相关产品

微信/QQ登录


首页
