提醒成功
搜索
Mouse Monoclonal Antibody to DBN1
-
货号:
P15503 -
别名:
-
应用:
WB,IHC,IP -
反应种属:
Human, Rat, Mouse -
抗体类型:
Primary antibody -
Swissprot:
Q16643 -
规格:
-
数量:
-+ -
说明书:
目录价¥2180
Mouse Monoclonal Antibody to DBN1
Specification |
|
|---|---|
| Swissprot | Q16643 |
| Host/Isotype | Mouse IgG1 |
| Antibody Type | Primary antibody |
| Storage | Store at 4°C short term. Aliquot and store at -20°C long term. Avoid freeze/thaw cycles. |
| Species Reactivity | Human, Rat, Mouse |
| Immunogen | Purified recombinant fragment of human DBN1 |
| Formulation | Purified antibody in PBS with 0.05% sodium azide |
Application |
|
|---|---|
| WB | 1/500-1/1000 |
| IP | 1/100-1/200 |
| IHC | 1/100-1/200 |
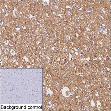
Product Image
- Lane 1: 15 µg of SH-SY5Y lysate; Lane 2: 15 µg of rat brain; Lane 3: 15 µg of mouse brain;Result: P15503 can detect DBN1 by Western blotting;
- Lane 1: Mouse brain tissue lysate ; Lane 2: DBN1 immunoprecipitated from mouse brain tissue lysate by P15503 ; Lane 3: The same as Lane 2 but use IgG isotype control antibody ;Result: P15503 can immunoprecipitate DBN1;
- IHC-P analysis of brain tissue by DBN1 antibody (P15503) IHC-P was performed using sections of the formalin-fixed paraffin-embedded brain tissue;Result: Neuropil is positively stained.
For Reseach Only
Application Key:WB - Western Blot | IHC - Immunohistochemistry | ICC - Immunocytochemistry | FCM - Flow Cytometry | ELISA - Enzyme-linked Immunosorbent Assay | IP - Immunoprecipitation
#P15503
相关产品

微信/QQ登录


首页
