提醒成功

搜索
Mouse Monoclonal Antibody to TRIM34
-
货号:
P15192 -
别名:
-
应用:
WB,IHC,IP -
反应种属:
Human -
抗体类型:
Primary antibody -
Swissprot:
Q9BYJ4 -
规格:
-
数量:
-+ -
说明书:
目录价¥2180

Mouse Monoclonal Antibody to TRIM34
Specification |
|
---|---|
Swissprot | Q9BYJ4 |
Host/Isotype | Mouse IgG2a |
Antibody Type | Primary antibody |
Storage | Store at 4°C short term. Aliquot and store at -20°C long term. Avoid freeze/thaw cycles. |
Species Reactivity | Human |
Immunogen | Purified recombinant fragment of human TRIM34 |
Formulation | Purified antibody in PBS with 0.05% sodium azide |
Application |
|
---|---|
WB | 1/500-1/1000 |
IP | 1/100-1/200 |
IHC | 1/100-1/200 |
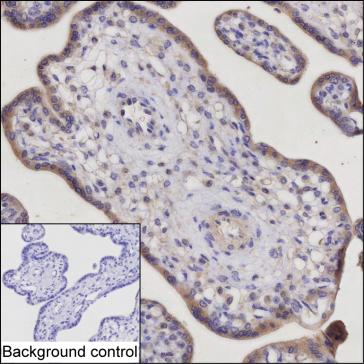
Product Image
- Western blot analysis using TRIM34 mouse mAb against Jurkat lysate
- Lane 1: Jurkat lysate ; Lane 2: TRIM34 immunoprecipitated from Jurkat lysate by P15192 ; Lane 3: The same as Lane 2 but use IgG isotype control antibody ;Result: P15192 can immunoprecipitate TRIM34;
- IHC-P analysis of placenta tissue by TRIM34 antibody (P15192) IHC-P was performed using sections of the formalin-fixed paraffin-embedded placenta tissue;Result: Trophoblastic cells are positively stained at the cytoplasm.
For Reseach Only
Application Key:WB - Western Blot | IHC - Immunohistochemistry | ICC - Immunocytochemistry | FCM - Flow Cytometry | ELISA - Enzyme-linked Immunosorbent Assay | IP - Immunoprecipitation
#P15192

相关产品


