提醒成功
搜索
Mouse Monoclonal Antibody to MYO6
-
货号:
P15183 -
别名:
-
应用:
WB,IHC,IP -
反应种属:
Human -
抗体类型:
Primary antibody -
Swissprot:
Q9UM54 -
规格:
-
数量:
-+ -
说明书:
目录价¥2180
Mouse Monoclonal Antibody to MYO6
Specification |
|
|---|---|
| Swissprot | Q9UM54 |
| Host/Isotype | Mouse IgG1 |
| Antibody Type | Primary antibody |
| Storage | Store at 4°C short term. Aliquot and store at -20°C long term. Avoid freeze/thaw cycles. |
| Species Reactivity | Human |
| Immunogen | Purified recombinant fragment of human MYO6 |
| Formulation | Purified antibody in PBS with 0.05% sodium azide |
Application |
|
|---|---|
| WB | 1/500-1/1000 |
| IP | 1/100-1/200 |
| IHC | 1/100-1/200 |
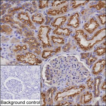
Product Image
- Western blot analysis using MYO6 mouse mAb against HT-29 lysate
- Lane 1: HT-29 lysate ; Lane 2: MYO6 immunoprecipitated from HT-29 lysate by P15183 ; Lane 3: The same as Lane 2 but use IgG isotype control antibody ;Result: P15183 can immunoprecipitate MYO6;
- IHC-P analysis of kidney tissue by MYO6 antibody (P15183) IHC-P was performed using sections of the formalin-fixed paraffin-embedded kidney tissue;Result: Cells in tubules are positively stained at the cytoplasm and membrane.
For Reseach Only
Application Key:WB - Western Blot | IHC - Immunohistochemistry | ICC - Immunocytochemistry | FCM - Flow Cytometry | ELISA - Enzyme-linked Immunosorbent Assay | IP - Immunoprecipitation
#P15183
相关产品

微信/QQ登录


首页
