提醒成功
搜索
Rabbit Polyclonal Antibody to IL13RA1
-
货号:
P00120 -
别名:
NR4; CT19; CD213A1; IL-13Ra -
应用:
WB,IHC -
反应种属:
Human, Mouse -
抗体类型:
Primary antibody -
Swissprot:
P78552 -
规格:
-
数量:
-+ -
说明书:
目录价¥1980
Rabbit Polyclonal Antibody to IL13RA1
Description |
|---|
The protein encoded by this gene is a subunit of the interleukin 13 receptor. This subunit forms a receptor complex with IL4 receptor alpha, a subunit shared by IL13 and IL4 receptors. This subunit serves as a primary IL13-binding subunit of the IL13 receptor, and may also be a component of IL4 receptors. This protein has been shown to bind tyrosine kinase TYK2, and thus may mediate the signaling processes that lead to the activation of JAK1, STAT3 and STAT6 induced by IL13 and IL4. |
Specification |
|
|---|---|
| Aliases | NR4; CT19; CD213A1; IL-13Ra |
| Swissprot | P78552 |
| WB Predicted band size | 49 kDa |
| Host/Isotype | Rabbit IgG |
| Antibody Type | Primary antibody |
| Storage | Store at 4°C short term. Aliquot and store at -20°C long term. Avoid freeze/thaw cycles. |
| Species Reactivity | Human, Mouse |
| Immunogen | Fusion protein of human IL13RA1 |
| Formulation | Purified antibody in PBS with 0.05% sodium azide and 50% glycerol. |
Application |
|
|---|---|
| WB | 1/1000-1/5000 |
| IHC | 1/100-1/200 |
| ELISA | 1/5000-1/10000 |
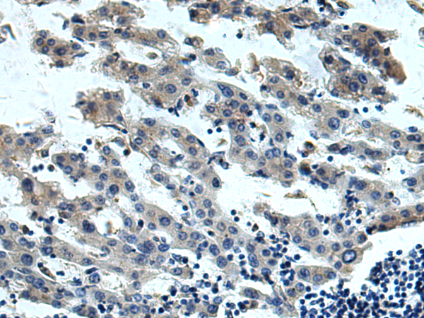
Product Image
- Gel: 8%SDS-PAGE, Lysate: 40 μg, Lane 1-2: Mouse heart tissue, 293T cell lysates, Primary antibody: P00120(IL13RA1 Antibody) at dilution 1/1000, Secondary antibody: Goat anti rabbit IgG at 1/5000 dilution, Exposure time: 10 seconds
- The image is immunohistochemistry of paraffin-embedded Human esophagus cancer tissue using P00120(IL13RA1 Antibody) at dilution 1/120. (Original magnification: ×200)
- The image is immunohistochemistry of paraffin-embedded Human liver cancer tissue using P00120(IL13RA1 Antibody) at dilution 1/120. (Original magnification: ×200)
For Reseach Only
Application Key:WB - Western Blot | IHC - Immunohistochemistry | ICC - Immunocytochemistry | FCM - Flow Cytometry | ELISA - Enzyme-linked Immunosorbent Assay | IP - Immunoprecipitation
#P00120
相关产品

微信/QQ登录


首页
