提醒成功

搜索
Rabbit Monoclonal Antibody to Phospho-PKC gamma (Thr514)
-
货号:
P20140 -
别名:
PRKCG; PKCG; Protein kinase C gamma type; PKC-gamma -
应用:
WB,IP,IHC -
反应种属:
Human,Mouse,Rat -
抗体类型:
Primary antibody -
Swissprot:
P05129 -
规格:
-
数量:
-+ -
说明书:
目录价¥2180

Rabbit Monoclonal Antibody to Phospho-PKC gamma (Thr514)
Description |
---|
This is a calcium-activated, phospholipid-dependent, serine- and threonine-specific enzyme. |
Specification |
|
---|---|
Aliases | PRKCG; PKCG; Protein kinase C gamma type; PKC-gamma |
Entrez GeneID | 5582 |
Swissprot | P05129 |
WB Predicted band size | Calculated MW: 78 kDa; Observed MW: 78-85 kDa |
Host/Isotype | Rabbit IgG |
Antibody Type | Primary antibody |
Storage | Store at 4°C short term. Aliquot and store at -20°C long term. Avoid freeze/thaw cycles. |
Species Reactivity | Human,Mouse,Rat |
Immunogen | A synthetic phosphopeptide corresponding to residues surrounding Thr514 of human PKC |
Formulation | Purified antibody in TBS with 0.05% sodium azide,0.05%BSA and 50% glycerol. |
Application |
|
---|---|
WB | 1/500-1/1000 |
IP | 1/10-1/20 |
IHC | 1/50-1/100 |
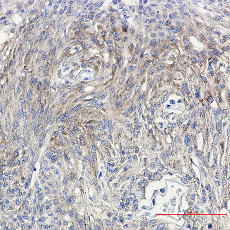
Product Image
- Western blot analysis of Phospho-PKC gamma (Thr514) in mouse brain lysates using Phospho-PKC gamma (Thr514) antibody.
- Western blot analysis of Phospho-PKC gamma (Thr514) in C6, Hela lysates using Phospho-PKC gamma (Thr514) antibody.
- Immunohistochemistry analysis of paraffin-embedded Human Brain using PKC (Phospho-Thr514) antibody. High-pressure and temperature Sodium Citrate pH 6.0 was used for antigen retrieval.
For Reseach Only
Application Key:WB - Western Blot | IHC - Immunohistochemistry | ICC - Immunocytochemistry | FCM - Flow Cytometry | ELISA - Enzyme-linked Immunosorbent Assay | IP - Immunoprecipitation
#P20140

相关产品


