提醒成功

搜索
Rabbit Polyclonal Antibody to POLQ
-
货号:
P13276 -
别名:
PRO0327 -
应用:
IHC -
反应种属:
Human, Mouse -
抗体类型:
Primary antibody -
Swissprot:
O75417 -
规格:
-
数量:
-+ -
说明书:
目录价¥1980

Rabbit Polyclonal Antibody to POLQ
Description |
---|
DNA polymerase that promotes microhomology-mediated end-joining (MMEJ), an alternative non-homologous end-joining (NHEJ) machinery triggered in response to double-strand breaks in DNA (PubMed:25642963, PubMed:25643323). MMEJ is an error-prone repair pathway that produces deletions of sequences from the strand being repaired and promotes genomic rearrangements, such as telomere fusions, some of them leading to cellular transformation (PubMed:25642963, PubMed:25643323). POLQ acts as an inhibitor of homology-recombination repair (HR) pathway by limiting RAD51 accumulation at resected ends (PubMed:25642963). POLQ-mediated MMEJ may be required to promote the survival of cells with a compromised HR repair pathway, thereby preventing genomic havoc by resolving unrepaired lesions (By similarity). The polymerase acts by binding directly the 2 ends of resected double-strand breaks, allowing microhomologous sequences in the overhangs to form base pairs. It then extends each strand from the base-paired region using the opposing overhang as a template. Requires partially resected DNA containing 2 to 6 base pairs of microhomology to perform MMEJ (PubMed:25643323). The polymerase activity is highly promiscuous: unlike most polymerases, promotes extension of ssDNA and partial ssDNA (pssDNA) substrates (PubMed:18503084, PubMed:21050863, PubMed:22135286). Also exhibits low-fidelity DNA synthesis, translesion synthesis and lyase activity, and it is implicated in interstrand-cross-link repair, base excision repair and DNA end-joining (PubMed:14576298, PubMed:18503084, PubMed:19188258, PubMed:24648516). Involved in somatic hypermutation of immunoglobulin genes, a process that requires the activity of DNA polymerases to ultimately introduce mutations at both A/T and C/G base pairs (By similarity). |
Specification |
|
---|---|
Aliases | PRO0327 |
Swissprot | O75417 |
Host/Isotype | Rabbit IgG |
Antibody Type | Primary antibody |
Storage | Store at 4°C short term. Aliquot and store at -20°C long term. Avoid freeze/thaw cycles. |
Species Reactivity | Human, Mouse |
Immunogen | Synthetic peptide of human POLQ |
Formulation | Purified antibody in PBS with 0.05% sodium azide and 50% glycerol. |
Application |
|
---|---|
IHC | 1/50-1/100 |
ELISA | 1/5000-1/10000 |
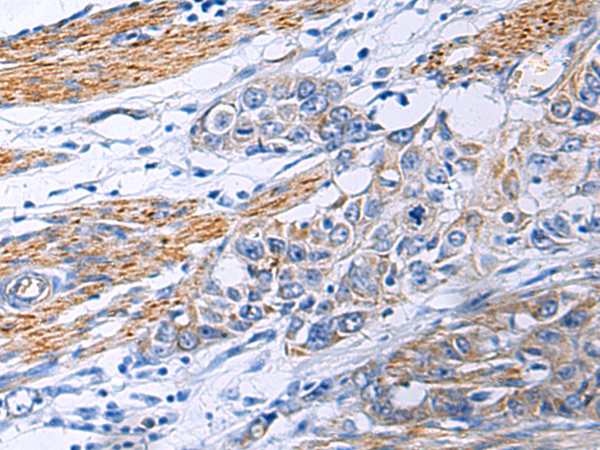
Product Image
- The image is immunohistochemistry of paraffin-embedded Human colorectal cancer using P13276(POLQ Antibody) at dilution 1/30. (Original magnification: ×200)
- The image is immunohistochemistry of paraffin-embedded Human esophagus cancer using P13276(POLQ Antibody) at dilution 1/30. (Original magnification: ×200)
For Reseach Only
Application Key:WB - Western Blot | IHC - Immunohistochemistry | ICC - Immunocytochemistry | FCM - Flow Cytometry | ELISA - Enzyme-linked Immunosorbent Assay | IP - Immunoprecipitation
#P13276

相关产品


