提醒成功

搜索
Rabbit Polyclonal Antibody to ALDH7A1
-
货号:
P13127 -
别名:
EPD; PDE; ATQ1 -
应用:
WB,IHC -
反应种属:
Human, Mouse, Rat -
抗体类型:
Primary antibody -
Swissprot:
P49419 -
规格:
-
数量:
-+ -
说明书:
目录价¥1980

Rabbit Polyclonal Antibody to ALDH7A1
Description |
---|
The protein encoded by this gene is a member of subfamily 7 in the aldehyde dehydrogenase gene family. These enzymes are thought to play a major role in the detoxification of aldehydes generated by alcohol metabolism and lipid peroxidation. This particular member has homology to a previously described protein from the green garden pea, the 26g pea turgor protein. It is also involved in lysine catabolism that is known to occur in the mitochondrial matrix. Recent reports show that this protein is found both in the cytosol and the mitochondria, and the two forms likely arise from the use of alternative translation initiation sites. An additional variant encoding a different isoform has also been found for this gene. Mutations in this gene are associated with pyridoxine-dependent epilepsy. Several related pseudogenes have also been identified. |
Specification |
|
---|---|
Aliases | EPD; PDE; ATQ1 |
Swissprot | P49419 |
WB Predicted band size | 59 kDa |
Host/Isotype | Rabbit IgG |
Antibody Type | Primary antibody |
Storage | Store at 4°C short term. Aliquot and store at -20°C long term. Avoid freeze/thaw cycles. |
Species Reactivity | Human, Mouse, Rat |
Immunogen | Synthetic peptide of human ALDH7A1 |
Formulation | Purified antibody in PBS with 0.05% sodium azide and 50% glycerol. |
Application |
|
---|---|
WB | 1/200-1/1000 |
IHC | 1/20-1/100 |
ELISA | 1/5000-1/10000 |
Product Image
- Gel: 8%SDS-PAGE, Lysate: 40 μg, Lane 1-7: Rat liver tissue, A172 and HepG2 cell, Mouse liver tissue, Hela cell, Human liver tissue and Human fetal liver tissue lysates, Primary antibody: P13127(ALDH7A1 Antibody) at dilution 1/250, Secondary antibody: Goat anti rabbit IgG at 1/8000 dilution, Exposure time: 5 seconds
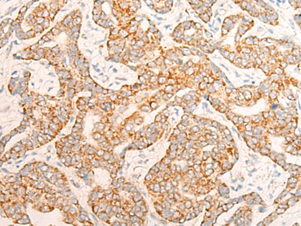
- The image is immunohistochemistry of paraffin-embedded Human liver cancer tissue using P13127(ALDH7A1 Antibody) at dilution 1/20. (Original magnification: ×200)
For Reseach Only
Application Key:WB - Western Blot | IHC - Immunohistochemistry | ICC - Immunocytochemistry | FCM - Flow Cytometry | ELISA - Enzyme-linked Immunosorbent Assay | IP - Immunoprecipitation
#P13127

相关产品


