提醒成功

搜索
Rabbit Polyclonal Antibody to IFITM1
-
货号:
P12753 -
别名:
9-27; CD225; IFI17; LEU13; DSPA2a -
应用:
WB,IHC -
反应种属:
Human, Mouse -
抗体类型:
Primary antibody -
Swissprot:
P13164 -
规格:
-
数量:
-+ -
说明书:
目录价¥1980

Rabbit Polyclonal Antibody to IFITM1
Description |
---|
IFN-induced antiviral protein which inhibits the entry of viruses to the host cell cytoplasm, permitting endocytosis, but preventing subsequent viral fusion and release of viral contents into the cytosol. Active against multiple viruses, including influenza A virus, SARS coronavirus (SARS-CoV), Marburg virus (MARV), Ebola virus (EBOV), Dengue virus (DNV), West Nile virus (WNV), human immunodeficiency virus type 1 (HIV-1) and hepatitis C virus (HCV). Can inhibit: influenza virus hemagglutinin protein-mediated viral entry, MARV and EBOV GP1,2-mediated viral entry and SARS-CoV S protein-mediated viral entry. Also implicated in cell adhesion and control of cell growth and migration. Plays a key role in the antiproliferative action of IFN-gamma either by inhibiting the ERK activation or by arresting cell growth in G1 phase in a p53-dependent manner. Acts as a positive regulator of osteoblast differentiation. |
Specification |
|
---|---|
Aliases | 9-27; CD225; IFI17; LEU13; DSPA2a |
Swissprot | P13164 |
WB Predicted band size | 14 kDa |
Host/Isotype | Rabbit IgG |
Antibody Type | Primary antibody |
Storage | Store at 4°C short term. Aliquot and store at -20°C long term. Avoid freeze/thaw cycles. |
Species Reactivity | Human, Mouse |
Immunogen | Synthetic peptide of human IFITM1 |
Formulation | Purified antibody in PBS with 0.05% sodium azide and 50% glycerol. |
Application |
|
---|---|
WB | 1/500-1/2000 |
IHC | 1/50-1/100 |
ELISA | 1/5000-1/10000 |
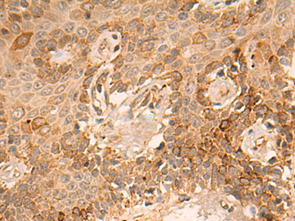
Product Image
- Gel: 12%SDS-PAGE, Lysate: 40 μg, Lane: Mouse spleen tissue lysate, Primary antibody: P12753(IFITM1 Antibody) at dilution 1/500, Secondary antibody: Goat anti rabbit IgG at 1/5000 dilution, Exposure time: 40 seconds
- The image is immunohistochemistry of paraffin-embedded Human breast cancer tissue using P12753(IFITM1 Antibody) at dilution 1/25. (Original magnification: ×200)
For Reseach Only
Application Key:WB - Western Blot | IHC - Immunohistochemistry | ICC - Immunocytochemistry | FCM - Flow Cytometry | ELISA - Enzyme-linked Immunosorbent Assay | IP - Immunoprecipitation
#P12753

相关产品


