提醒成功

搜索
Rabbit Polyclonal Antibody to IFI16
-
货号:
P12752 -
别名:
PYHIN2; IFNGIP1 -
应用:
IHC -
反应种属:
Human -
抗体类型:
Primary antibody -
Swissprot:
Q16666 -
规格:
-
数量:
-+ -
说明书:
目录价¥1980

Rabbit Polyclonal Antibody to IFI16
Description |
---|
This gene encodes a member of the HIN-200 (hematopoietic interferon-inducible nuclear antigens with 200 amino acid repeats) family of cytokines. The encoded protein contains domains involved in DNA binding, transcriptional regulation, and protein-protein interactions. The protein localizes to the nucleoplasm and nucleoli, and interacts with p53 and retinoblastoma-1. It modulates p53 function, and inhibits cell growth in the Ras/Raf signaling pathway. Alternatively spliced transcript variants encoding different isoforms have been found for this gene. |
Specification |
|
---|---|
Aliases | PYHIN2; IFNGIP1 |
Swissprot | Q16666 |
Host/Isotype | Rabbit IgG |
Antibody Type | Primary antibody |
Storage | Store at 4°C short term. Aliquot and store at -20°C long term. Avoid freeze/thaw cycles. |
Species Reactivity | Human |
Immunogen | Synthetic peptide of human IFI16 |
Formulation | Purified antibody in PBS with 0.05% sodium azide and 50% glycerol. |
Application |
|
---|---|
IHC | 1/25-1/100 |
ELISA | 1/5000-1/10000 |
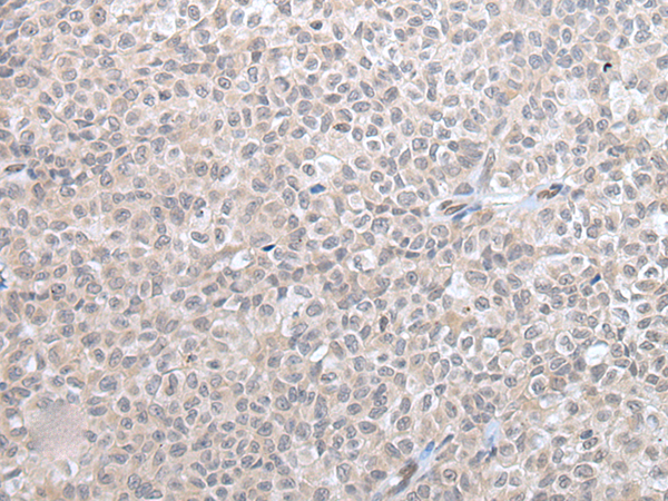
Product Image
- The image is immunohistochemistry of paraffin-embedded Human esophagus cancer tissue using P12752(IFI16 Antibody) at dilution 1/25. (Original magnification: ×200)
- The image is immunohistochemistry of paraffin-embedded Human ovarian cancer tissue using P12752(IFI16 Antibody) at dilution 1/25. (Original magnification: ×200)
For Reseach Only
Application Key:WB - Western Blot | IHC - Immunohistochemistry | ICC - Immunocytochemistry | FCM - Flow Cytometry | ELISA - Enzyme-linked Immunosorbent Assay | IP - Immunoprecipitation
#P12752

相关产品


